• Tel: 858.663.9055
  • SeparatorEmail: info@nsjbio.com
  • Tel: 858.663.9055
  • Email: info@nsjbio.com
Home >> Antibodies >> PMEL Antibody / Premelanosome protein / SILV

PMEL Antibody / Premelanosome protein / SILV (FY13157)

  Catalog No Formulation Size Price (USD)  
Image FY13157 Adding 0.2 ml of distilled water will yield a concentration of 500 ug/ml 100 ug 439
Bulk quote request
Immunofluorescent staining of SILV/PMEL using anti-PMEL antibody (red). SILV/PMEL was detected in a paraffin-embedded section of human melanoma tissue. Heat mediated antigen retrieval was performed in EDTA buffer (pH 8.0, epitope retrieval solution). The tissue section was blocked with 10% goat serum. The tissue section was then incubated with 5 ug/ml rabbit anti-PMEL antibody overnight at 4oC. DyLight 594 Conjugated Goat Anti-Rabbit IgG was used as secondary antibody at 1:500 dilution and incubated for 30 minutes at 37oC. The section was counterstained with DAPI nuclear stain (blue). Visualize using a fluorescence microscope and filter sets appropriate for the label used.
Western blot analysis of SILV/PMEL using anti-PMEL antibody. Lane 1: human whole cell lysates, Lane 2: rat testis tissue lysates, Lane 3: rat C6 whole cell lysates, Lane 4: mouse testis tissue lysates. After electrophoresis, proteins were transferred to a nitrocellulose membrane at 150 mA for 50-90 minutes. Blocked the membrane with 5% non-fat milk/TBS for 1.5 hour at RT. The membrane was incubated with rabbit anti-PMEL antibody at 0.5 ug/ml overnight at 4oC, then washed with TBS-0.1%Tween 3 times with 5 minutes each and probed with a goat anti-rabbit IgG-HRP secondary antibody at a dilution of 1:5000 for 1.5 hour at RT. The signal was developed using enhanced chemiluminescent. PMEL antibody detects a band at ~75-80 kDa in the indicated lysates. Although the full-length glycosylated PMEL precursor is ~100 kDa, it is rapidly cleaved into luminal M-alpha (~60-80 kDa) and membrane M-beta (~26 kDa) fragments. The ~75-80 kDa species corresponds to the glycosylated M-alpha fragment, the predominant soluble intermediate form of PMEL detected in standard cell and tissue lysates.
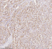
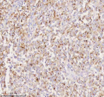
Immunohistochemical staining of SILV/PMEL using anti-PMEL antibody. SILV/PMEL was detected in a paraffin-embedded section of human melanoma tissue. Heat mediated antigen retrieval was performed in EDTA buffer (pH 8.0, epitope retrieval solution). The tissue section was blocked with 10% goat serum. The tissue section was then incubated with 2 ug/ml rabbit anti-PMEL antibody overnight at 4oC. Peroxidase Conjugated Goat Anti-rabbit IgG was used as secondary antibody and incubated for 30 minutes at 37oC. The tissue section was developed using an HRP secondary and DAB substrate.
Flow Cytometry analysis of U20S cells using anti-PMEL antibody. Overlay histogram showing U20S cells stained with (Blue line). To facilitate intracellular staining, cells were fixed with 4% paraformaldehyde and permeabilized with permeabilization buffer. The cells were blocked with 10% normal goat serum. And then incubated with rabbit anti-PMEL antibody (1 ug/million cells) for 30 min at 20oC. DyLight 488 conjugated goat anti-rabbit IgG (5-10 ug/million cells) was used as secondary antibody for 30 minutes at 20oC. Isotype control antibody (Green line) was rabbit IgG (1 ug/million cells) used under the same conditions. Unlabelled sample (Red line) was also used as a control.
Immunohistochemical staining of SILV/PMEL using anti-PMEL antibody. SILV/PMEL was detected in a paraffin-embedded section of human melanoma tissue. Heat mediated antigen retrieval was performed in EDTA buffer (pH 8.0, epitope retrieval solution). The tissue section was blocked with 10% goat serum. The tissue section was then incubated with 2 ug/ml rabbit anti-PMEL antibody overnight at 4oC. Peroxidase Conjugated Goat Anti-rabbit IgG was used as secondary antibody and incubated for 30 minutes at 37oC. The tissue section was developed using an HRP secondary and DAB substrate.
Availability 1-2 days
Species Reactivity Human, Mouse, Rat
Format Lyophilized
Clonality Polyclonal (rabbit origin)
Isotype Rabbit IgG
Purity Immunogen affinity purified
Buffer Each vial contains 4 mg Trehalose, 0.9 mg NaCl, 0.2 mg Na2HPO4.
UniProt P40967
Localization Cytoplasm
Applications ELISA : 0.1-0.5ug/ml
Flow Cytometry : 1-3ug/million cells
Immunofluorescence : 5ug/ml
Immunohistochemistry : 2-5ug/ml
Western Blot : 0.25-0.5ug/ml
Limitations This PMEL antibody is available for research use only.
Review this product on BioCompare and get a $20 Amazon gift card

Related Products

Description

PMEL antibody detects Premelanosome protein, a structural component of melanosomes essential for melanin synthesis and pigment formation. The UniProt recommended name is Premelanosome protein (PMEL). Also known as SILV, gp100, or ME20, this glycoprotein forms amyloid fibrils that serve as scaffolds for melanin polymerization within developing melanosomes.

Functionally, PMEL antibody identifies a 661-amino-acid type I transmembrane glycoprotein synthesized in melanocytes. PMEL is cleaved by proprotein convertases into M alpha and M beta fragments, which assemble into amyloid fibrils in stage II melanosomes. These fibrils provide a matrix for eumelanin deposition, enabling proper pigment granule maturation.

The PMEL gene is located on chromosome 12p13.31 and is expressed exclusively in pigment-producing cells, including melanocytes and retinal pigment epithelium. PMEL expression is regulated by the transcription factor MITF and is upregulated during melanocyte differentiation. It plays a central role in pigment biogenesis and melanosome architecture.

Pathologically, PMEL is a target antigen in melanoma immunotherapy and an established marker for melanocytic tumors. Mutations in PMEL can cause pigment dilution phenotypes in animals due to altered fibril formation. Research using PMEL antibody supports studies in pigmentation biology, melanoma diagnostics, and organelle structure.

PMEL antibody is validated for immunohistochemistry, western blotting, and immunofluorescence to detect melanosomal structural proteins. NSJ Bioreagents provides PMEL antibody reagents optimized for pigment biology, cancer research, and cell differentiation studies.

Structurally, Premelanosome protein contains an N-terminal signal peptide, a polycystic kidney disease-like (PKD) domain, and a transmembrane domain. Its cleaved fragments aggregate to form functional amyloid fibrils. This antibody supports detailed examination of PMEL's role in melanosome assembly and pigmentation control.

Application Notes

Optimal dilution of the PMEL antibody should be determined by the researcher.

Immunogen

E.coli-derived human SILV/PMEL recombinant protein (Position: H182-Q5565) was used as the immunogen for the PMEL antibody.

Storage

After reconstitution, the PMEL antibody can be stored for up to one month at 4oC. For long-term, aliquot and store at -20oC. Avoid repeated freezing and thawing.

Cross
Bulk Quote Request Form
Name*:
Organization*:
Email*:
Phone Number*:
Catalog No.*:
Comments and Specifics(amount, formulation, etc.)*:
Validation code: Captchapackage Image


Can't read the image? click here to refresh.
    *required field

Your bulk quote request has been submitted successfully!

Please contact us if you have any questions.