• Tel: 858.663.9055
  • SeparatorEmail: info@nsjbio.com
  • Tel: 858.663.9055
  • Email: info@nsjbio.com
Home >> Antibodies >> PLK1 Antibody

PLK1 Antibody [clone 6D11] (RQ5512)

  Catalog No Formulation Size Price (USD)  
Image RQ5512 0.5mg/ml if reconstituted with 0.2ml sterile DI water 100 ug 439
Bulk quote request
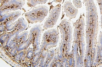
IHC staining of FFPE mouse intestine with PLK1 antibody. HIER: boil tissue sections in pH6, 10mM citrate buffer, for 20 min and allow to cool before testing.
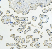
IHC staining of FFPE human placenta with PLK1 antibody. HIER: boil tissue sections in pH6, 10mM citrate buffer, for 20 min and allow to cool before testing.
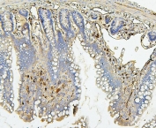
IHC staining of FFPE rat intestine with PLK1 antibody. HIER: boil tissue sections in pH6, 10mM citrate buffer, for 20 min and allow to cool before testing.
Western blot testing of 1) human HeLa, 2) monkey COS-7, 3) human Raji and 4) human U-2 OS lysate with PLK1 antibody. Predicted molecular weight ~68 kDa.
Availability 1-3 business days
Species Reactivity Human, Mouse, Rat, Monkey
Format Antigen affinity purified
Clonality Monoclonal (mouse origin)
Isotype Mouse IgG2b
Clone Name 6D11
Purity Affinity purified
Buffer Lyophilized from 1X PBS with 2% Trehalose and 0.025% sodium azide
UniProt P53350
Applications Western Blot : 0.5-1ug/ml
Immunohistochemistry (FFPE) : 1-2ug/ml
Limitations This PLK1 antibody is available for research use only.
Review this product on BioCompare and get a $20 Amazon gift card

Related Products

  • Applications : ELISA, WB
    Reactivity : Xenopus laevis
  • Applications : ELISA, IHC-P
    Reactivity : Human
  • Applications : WB, IHC, ELISA
    Reactivity : Human
    Pred. Reactivity : Mouse
  • Applications : WB, ELISA (peptide)
    Reactivity : Human
  • Applications : WB, IHC-P
    Reactivity : Human, Mouse, Rat
  • Applications : WB, ELISA (peptide)
    Reactivity : Human
    Pred. Reactivity : Cow, Dog, Mouse, Pig, Rat
  • Applications : WB, ELISA (peptide)
    Reactivity : Human
    Pred. Reactivity : Dog, Mouse, Rat

Description

Serine/threonine-protein kinase PLK1, also known as polo-like kinase 1 (PLK-1) or serine/threonine-protein kinase 13 (STPK13), is an enzyme that in humans is encoded by the PLK1 (polo-like kinase1) gene. Plk1 is an early trigger for G2/M transition. It supports the functional maturation of the centrosome in late G2/early prophase and establishment of the bipolar spindle. Also, Plk1 phosphorylates and activates cdc25C, a phosphatase that dephosphorylates and activates the cyclinB/cdc2 complex. Studies have shown that the loss of PLK1 expression can induce pro-apoptotic pathways and inhibit growth. Based on yeast and murine studies of meiosis, human PLK1 may also have a regulatory function in meiosis.

Application Notes

Optimal dilution of the PLK1 antibody should be determined by the researcher.

Immunogen

A human recombinant protein (amino acids K86-N430) was used as the immunogen for the PLK1 antibody.

Storage

After reconstitution, the PLK1 antibody can be stored for up to one month at 4oC. For long-term, aliquot and store at -20oC. Avoid repeated freezing and thawing.

Cross
Bulk Quote Request Form
Name*:
Organization*:
Email*:
Phone Number*:
Catalog No.*:
Comments and Specifics(amount, formulation, etc.)*:
Validation code: Captchapackage Image


Can't read the image? click here to refresh.
    *required field

Your bulk quote request has been submitted successfully!

Please contact us if you have any questions.