• Tel: 858.663.9055
  • SeparatorEmail: info@nsjbio.com
  • Tel: 858.663.9055
  • Email: info@nsjbio.com
Home >> Antibodies >> PLIN5 Antibody / Perilipin 5

PLIN5 Antibody / Perilipin 5 (FY12144)

  Catalog No Formulation Size Price (USD)  
Image FY12144 Adding 0.2 ml of distilled water will yield a concentration of 500 ug/ml 100 ug 439
Bulk quote request
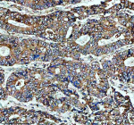
Immunohistochemical staining of PLIN5 using anti-PLIN5 antibody. PLIN5 was detected in a paraffin-embedded section of human ovarian cancer tissue. Heat mediated antigen retrieval was performed in EDTA buffer (pH 8.0, epitope retrieval solution). The tissue section was blocked with 10% goat serum. The tissue section was then incubated with 2 ug/ml rabbit anti-PLIN5 antibody overnight at 4oC. Peroxidase Conjugated Goat Anti-rabbit IgG was used as secondary antibody and incubated for 30 minutes at 37oC. The tissue section was developed using an HRP secondary and DAB substrate.
Western blot analysis of PLIN5 using anti-PLIN5 antibody. Electrophoresis was performed on a 10% SDS-PAGE gel at 80V (Stacking gel) / 120V (Resolving gel) for 2 hours. Lane 1: human MCF-7 whole cell lysates, Lane 2: human RT4 whole cell lysates, Lane 3: human HepG2 whole cell lysates, Lane 4: human HT1080 whole cell lysates, Lane 5: rat liver tissue lysates, Lane 6: mouse liver tissue lysates. After electrophoresis, proteins were transferred to a nitrocellulose membrane at 150 mA for 50-90 minutes. Blocked the membrane with 5% non-fat milk/TBS for 1.5 hour at RT. The membrane was incubated with rabbit anti-PLIN5 antibody at 0.5 ug/ml overnight at 4oC, then washed with TBS-0.1%Tween 3 times with 5 minutes each and probed with a goat anti-rabbit IgG-HRP secondary antibody at a dilution of 1:5000 for 1.5 hour at RT. The signal was developed using an ECL Plus Western Blotting Substrate. The expected band size for PLIN5 is at 51 kDa.
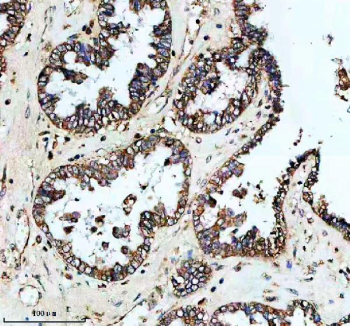
Immunohistochemical staining of PLIN5 using anti-PLIN5 antibody. PLIN5 was detected in a paraffin-embedded section of human stomach cancer tissue. Heat mediated antigen retrieval was performed in EDTA buffer (pH 8.0, epitope retrieval solution). The tissue section was blocked with 10% goat serum. The tissue section was then incubated with 2 ug/ml rabbit anti-PLIN5 antibody overnight at 4oC. Peroxidase Conjugated Goat Anti-rabbit IgG was used as secondary antibody and incubated for 30 minutes at 37oC. The tissue section was developed using an HRP secondary and DAB substrate.
Immunohistochemical staining of PLIN5 using anti-PLIN5 antibody. PLIN5 was detected in a paraffin-embedded section of mouse heart tissue. Heat mediated antigen retrieval was performed in EDTA buffer (pH 8.0, epitope retrieval solution). The tissue section was blocked with 10% goat serum. The tissue section was then incubated with 2 ug/ml rabbit anti-PLIN5 antibody overnight at 4oC. Peroxidase Conjugated Goat Anti-rabbit IgG was used as secondary antibody and incubated for 30 minutes at 37oC. The tissue section was developed using an HRP secondary and DAB substrate.
Immunohistochemical staining of PLIN5 using anti-PLIN5 antibody. PLIN5 was detected in a paraffin-embedded section of rat heart tissue. Heat mediated antigen retrieval was performed in EDTA buffer (pH 8.0, epitope retrieval solution). The tissue section was blocked with 10% goat serum. The tissue section was then incubated with 2 ug/ml rabbit anti-PLIN5 antibody overnight at 4oC. Peroxidase Conjugated Goat Anti-rabbit IgG was used as secondary antibody and incubated for 30 minutes at 37oC. The tissue section was developed using an HRP secondary and DAB substrate.
Immunofluorescent staining of PLIN5 using anti-PLIN5 antibody (red). PLIN5 was detected in a paraffin-embedded section of human ovarian cancer tissue. Heat mediated antigen retrieval was performed in EDTA buffer (pH 8.0, epitope retrieval solution). The tissue section was blocked with 10% goat serum. The tissue section was then incubated with 5 ug/ml rabbit anti-PLIN5 antibody overnight at 4oC. Cy3 Conjugated Goat Anti-Rabbit IgG was used as secondary antibody at 1:500 dilution and incubated for 30 minutes at 37oC. The section was counterstained with DAPI nuclear stain (blue). Visualize using a fluorescence microscope and filter sets appropriate for the label used.
Immunofluorescent staining of PLIN5 using anti-PLIN5 antibody (red). PLIN5 was detected in a paraffin-embedded section of human stomach cancer tissue. Heat mediated antigen retrieval was performed in EDTA buffer (pH 8.0, epitope retrieval solution). The tissue section was blocked with 10% goat serum. The tissue section was then incubated with 5 ug/ml rabbit anti-PLIN5 antibody overnight at 4oC. Cy3 Conjugated Goat Anti-Rabbit IgG was used as secondary antibody at 1:500 dilution and incubated for 30 minutes at 37oC. The section was counterstained with DAPI nuclear stain (blue). Visualize using a fluorescence microscope and filter sets appropriate for the label used.
Flow Cytometry analysis of HepG2 cells using anti-PLIN5 antibody. Overlay histogram showing HepG2 cells stained with (Blue line). To facilitate intracellular staining, cells were fixed with 4% paraformaldehyde and permeabilized with permeabilization buffer. The cells were blocked with 10% normal goat serum. And then incubated with rabbit anti-PLIN5 antibody (1 ug/million cells) for 30 min at 20oC. DyLight 488 conjugated goat anti-rabbit IgG (5-10 ug/million cells) was used as secondary antibody for 30 minutes at 20oC. Isotype control antibody (Green line) was rabbit IgG (1 ug/million cells) used under the same conditions. Unlabelled sample without incubation with primary antibody and secondary antibody (Red line) was used as a blank control.
Availability 1-2 days
Species Reactivity Human, Mouse, Rat
Format Lyophilized
Clonality Polyclonal (rabbit origin)
Isotype Rabbit IgG
Purity Immunogen affinity purified
Buffer Each vial contains 4 mg Trehalose, 0.9 mg NaCl, 0.2 mg Na2HPO4.
UniProt Q00G26
Applications Western Blot : 0.25-0.5ug/ml
Immunohistochemistry : 2-5ug/ml
Immunofluorescence : 5ug/ml
Flow Cytometry : 1-3ug/million cells
ELISA : 0.1-0.5ug/ml
Limitations This PLIN5 antibody is available for research use only.
Review this product on BioCompare and get a $20 Amazon gift card

Description

PLIN5 antibody detects Perilipin-5, encoded by the PLIN5 gene on chromosome 19p13.3. PLIN5 antibody is commonly used to study this lipid droplet-associated protein that regulates lipid storage, oxidation, and energy metabolism. PLIN5 belongs to the perilipin family, which includes PLIN1-5, and is highly expressed in oxidative tissues such as heart, skeletal muscle, brown adipose tissue, and liver. Its primary function is to coat lipid droplets, protect stored triglycerides, and coordinate lipolysis and fatty acid utilization.

Structurally, PLIN5 contains amphipathic helices that allow binding to lipid droplet surfaces. These regions protect lipid stores from uncontrolled hydrolysis by shielding them from lipases. PLIN5 also interacts with enzymes such as adipose triglyceride lipase (ATGL) and comparative gene identification-58 (CGI-58), serving as a regulatory scaffold for lipolysis. It recruits oxidative enzymes and mitochondria to lipid droplets, promoting efficient channeling of fatty acids into beta-oxidation pathways. This coordination is critical in energy-demanding tissues, where fatty acid metabolism fuels contractile and thermogenic activity.

Functionally, PLIN5 balances lipid storage and oxidation. Overexpression increases lipid droplet size but enhances mitochondrial fatty acid oxidation, preventing lipotoxicity. Knockout mice lacking PLIN5 exhibit impaired fatty acid metabolism, cardiac dysfunction, and susceptibility to metabolic stress. PLIN5 also plays a role in stress signaling by regulating lipid-derived reactive oxygen species. Its ability to integrate lipid droplet biology with mitochondrial function highlights its importance in energy homeostasis.

Clinically, dysregulation of PLIN5 is linked to metabolic diseases. Overexpression in the liver contributes to nonalcoholic fatty liver disease, while reduced expression impairs cardiac energy metabolism. PLIN5 variants are associated with altered lipid profiles, insulin resistance, and cardiovascular disease risk. Elevated PLIN5 expression has been observed in endurance-trained athletes, suggesting adaptive roles in enhancing oxidative capacity. Researchers use PLIN5 antibody to analyze its expression in metabolic tissues and disease models.

Experimentally, PLIN5 antibody is used in western blotting to detect the ~51 kDa protein, in immunofluorescence to label lipid droplets, and in immunohistochemistry to evaluate tissue distribution. Co-immunoprecipitation with PLIN5 antibody demonstrates its interactions with ATGL and CGI-58, linking it to lipolysis regulation. NSJ Bioreagents provides PLIN5 antibody as a reliable tool for studies in metabolism, cardiovascular biology, and energy regulation.

Application Notes

Optimal dilution of the PLIN5 antibody should be determined by the researcher.

Immunogen

E.coli-derived human PLIN5 recombinant protein (Position: M1-D425) was used as the immunogen for the PLIN5 antibody.

Storage

After reconstitution, the PLIN5 antibody can be stored for up to one month at 4oC. For long-term, aliquot and store at -20oC. Avoid repeated freezing and thawing.

Cross
Bulk Quote Request Form
Name*:
Organization*:
Email*:
Phone Number*:
Catalog No.*:
Comments and Specifics(amount, formulation, etc.)*:
Validation code: Captchapackage Image


Can't read the image? click here to refresh.
    *required field

Your bulk quote request has been submitted successfully!

Please contact us if you have any questions.