• Tel: 858.663.9055
  • SeparatorEmail: info@nsjbio.com
  • Tel: 858.663.9055
  • Email: info@nsjbio.com
Home >> Antibodies >> PLEKHA5 Antibody / PEPP-2

PLEKHA5 Antibody / PEPP-2 (RQ6723)

  Catalog No Formulation Size Price (USD)  
Image RQ6723 0.5mg/ml if reconstituted with 0.2ml sterile DI water 100 ug 439
Bulk quote request
Immunofluorescent staining of FFPE human HeLa cells with PLEHA5 antibody (green) and phalloidin (red). HIER: steam section in pH6 citrate buffer for 20 min.
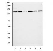
Western blot testing of 1) human A549, 2) human Jurkat, 3) human HeLa, 4) human HEK293, 4) rat testis and 5) mouse testis tissue lysate with PLEKHA5 antibody. Predicted molecular weight ~130 kDa (multiple isoforms).
Flow cytometry testing of human JK-1 cells with PLEKHA5 antibody at 1ug/million cells (blocked with goat sera); Red=cells alone, Green=isotype control, Blue= PLEKHA5 antibody.
Availability 1-3 business days
Species Reactivity Human, Mouse, Rat
Format Antigen affinity purified
Clonality Polyclonal (rabbit origin)
Isotype Rabbit IgG
Purity Antigen affinity purified
Buffer Lyophilized from 1X PBS with 2% Trehalose
UniProt Q9HAU0
Localization Nuclear, cytoplasmic
Applications Western Blot : 1-2ug/ml
Immunofluorescence (FFPE) : 5ug/ml
Flow Cytometry : 1-3ug/million cells
Direct ELISA : 0.1-0.5ug/ml
Limitations This PLEKHA5 antibody is available for research use only.
Review this product on BioCompare and get a $20 Amazon gift card

Description

Pleckstrin homology domain-containing family A member 5, also called Phosphoinositol 3-phosphate-binding protein 2 (PEPP-2) is a protein that in humans is encoded by the PLEKHA5 gene. This gene, which encodes a transcriptional repressor, is one of two paralogous X-linked homeobox-containing genes and is highly expressed in a variety of cancers. In addition, the encoded protein associates with the cell membrane and with microtubules and is concentrated at the leading edge of migratory cells.

Application Notes

Optimal dilution of the PLEKHA5 antibody should be determined by the researcher.

Immunogen

Recombinant human protein (amino acids R25-Q905) was used as the immunogen for the PLEKHA5 antibody.

Storage

After reconstitution, the PLEKHA5 antibody can be stored for up to one month at 4oC. For long-term, aliquot and store at -20oC. Avoid repeated freezing and thawing.

Cross
Bulk Quote Request Form
Name*:
Organization*:
Email*:
Phone Number*:
Catalog No.*:
Comments and Specifics(amount, formulation, etc.)*:
Validation code: Captchapackage Image


Can't read the image? click here to refresh.
    *required field

Your bulk quote request has been submitted successfully!

Please contact us if you have any questions.