• Tel: 858.663.9055
  • SeparatorEmail: info@nsjbio.com
  • Tel: 858.663.9055
  • Email: info@nsjbio.com
Home >> Antibodies >> PLEK Antibody / Pleckstrin

PLEK Antibody / Pleckstrin (RQ7023)

  Catalog No Formulation Size Price (USD)  
Image RQ7023 0.5mg/ml if reconstituted with 0.2ml sterile DI water 100 ug 439
Bulk quote request
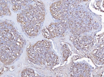
IHC staining of FFPE human tonsil tissue with PLEK antibody. HIER: boil tissue sections in pH8 EDTA for 20 min and allow to cool before testing.
Western blot testing of human 1) HEL and 2) U-937 cell lysate with PLEK antibody. Predicted molecular weight: ~40 kDa.
Flow cytometry testing of human HL60 cells with PLEK antibody at 1ug/million cells (blocked with goat sera); Red=cells alone, Green=isotype control, Blue= PLEK antibody.
Availability 1-3 business days
Species Reactivity Human
Format Antigen affinity purified
Clonality Polyclonal (rabbit origin)
Isotype Rabbit IgG
Purity Antigen affinity purified
Buffer Lyophilized from 1X PBS with 2% Trehalose
UniProt P08567
Localization Cytoplasmic, extracellular
Applications Western Blot : 0.5-1 ug/ml
Immunohistochemistry (FFPE) : 2-5ug/ml
Flow Cytometry : 1-3ug/million cells
Direct ELISA : 0.1-0.5ug/ml
Limitations This PLEK antibody is available for research use only.
Review this product on BioCompare and get a $20 Amazon gift card

Related Products

Description

Enables phosphatidylinositol-3,4-bisphosphate binding activity; protein homodimerization activity; and protein kinase C binding activity. Involved in several processes, including G protein-coupled receptor signaling pathway; actin cytoskeleton organization; and positive regulation of supramolecular fiber organization. Located in cytoplasm and ruffle membrane.

Application Notes

Optimal dilution of the PLEK antibody should be determined by the researcher.

Immunogen

Recombinant human protein (amino acids M47-K308) was used as the immunogen for the PLEK antibody.

Storage

After reconstitution, the PLEK antibody can be stored for up to one month at 4oC. For long-term, aliquot and store at -20oC. Avoid repeated freezing and thawing.

Cross
Bulk Quote Request Form
Name*:
Organization*:
Email*:
Phone Number*:
Catalog No.*:
Comments and Specifics(amount, formulation, etc.)*:
Validation code: Captchapackage Image


Can't read the image? click here to refresh.
    *required field

Your bulk quote request has been submitted successfully!

Please contact us if you have any questions.