• Tel: 858.663.9055
  • SeparatorEmail: info@nsjbio.com
  • Tel: 858.663.9055
  • Email: info@nsjbio.com
Home >> Antibodies >> PLD3 Antibody / 5'-3' exonuclease PLD3

PLD3 Antibody / 5'-3' exonuclease PLD3 (RQ6670)

  Catalog No Formulation Size Price (USD)  
Image RQ6670 0.5mg/ml if reconstituted with 0.2ml sterile DI water 100 ug 439
Bulk quote request
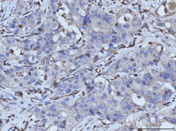
IHC staining of FFPE human appendiceal adenocarcinoma tissue with PLD3 antibody. HIER: boil tissue sections in pH8 EDTA for 20 min and allow to cool before testing.
IHC staining of FFPE human appendiceal adenocarcinoma tissue with PLD3 antibody. HIER: boil tissue sections in pH8 EDTA for 20 min and allow to cool before testing.
IHC staining of FFPE human spleen tissue with PLD3 antibody. HIER: boil tissue sections in pH8 EDTA for 20 min and allow to cool before testing.
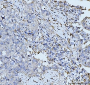
IHC staining of FFPE human liver cancer tissue with PLD3 antibody. HIER: boil tissue sections in pH8 EDTA for 20 min and allow to cool before testing.
IHC staining of FFPE mouse brain tissue with PLD3 antibody. HIER: boil tissue sections in pH8 EDTA for 20 min and allow to cool before testing.
IHC staining of FFPE rat brain tissue with PLD3 antibody. HIER: boil tissue sections in pH8 EDTA for 20 min and allow to cool before testing.
Immunofluorescent staining of FFPE human A549 cells with PLD3 antibody (green) and DAPI nuclear stain (blue). HIER: steam section in pH6 citrate buffer for 20 min.
Availability 1-3 business days
Species Reactivity Human, Mouse, Rat
Format Antigen affinity purified
Clonality Polyclonal (rabbit origin)
Isotype Rabbit IgG
Purity Antigen affinity purified
Buffer Lyophilized from 1X PBS with 2% Trehalose
UniProt Q8IV08
Localization Cytoplasmic
Applications Western Blot : 1-2ug/ml
Immunohistochemistry (FFPE) : 2-5ug/ml
Immunofluorescence (FFPE) : 5ug/ml
Direct ELISA : 0.1-0.5ug/ml
Limitations This PLD3 antibody is available for research use only.
Review this product on BioCompare and get a $20 Amazon gift card

Description

Phospholipase D3, also known as PLD3, is a protein that in humans is encoded by the PLD3 gene. This gene encodes a member of the phospholipase D (PLD) family of enzymes that catalyze the hydrolysis of membrane phospholipids. The encoded protein is a single-pass type II membrane protein and contains two PLD phosphodiesterase domains. This protein influences processing of amyloid-beta precursor protein. Mutations in this gene are associated with Alzheimer disease risk. Alternatively spliced transcript variants encoding the same protein have been found for this gene.

Application Notes

Optimal dilution of the PLD3 antibody should be determined by the researcher.

Immunogen

Recombinant human protein (amino acids M1-L490) was used as the immunogen for the PLD3 antibody.

Storage

After reconstitution, the PLD3 antibody can be stored for up to one month at 4oC. For long-term, aliquot and store at -20oC. Avoid repeated freezing and thawing.

Cross
Bulk Quote Request Form
Name*:
Organization*:
Email*:
Phone Number*:
Catalog No.*:
Comments and Specifics(amount, formulation, etc.)*:
Validation code: Captchapackage Image


Can't read the image? click here to refresh.
    *required field

Your bulk quote request has been submitted successfully!

Please contact us if you have any questions.