• Tel: 858.663.9055
  • SeparatorEmail: info@nsjbio.com
  • Tel: 858.663.9055
  • Email: info@nsjbio.com
Home >> Antibodies >> PLBD2 Antibody / Phospholipase B domain-containing protein 2

PLBD2 Antibody / Phospholipase B domain-containing protein 2 (FY12967)

  Catalog No Formulation Size Price (USD)  
Image FY12967 Adding 0.2 ml of distilled water will yield a concentration of 500 ug/ml 100 ug 439
Bulk quote request
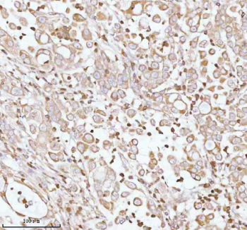
Immunohistochemical staining of PLBD2 using anti-PLBD2 antibody. PLBD2 was detected in a paraffin-embedded section of human lung adenocarcinoma tissue. Heat mediated antigen retrieval was performed in EDTA buffer (pH 8.0, epitope retrieval solution). The tissue section was blocked with 10% goat serum. The tissue section was then incubated with 2 ug/ml rabbit anti-PLBD2 antibody overnight at 4oC. Peroxidase Conjugated Goat Anti-rabbit IgG was used as secondary antibody and incubated for 30 minutes at 37oC. The tissue section was developed using an HRP secondary and DAB substrate.
Western blot analysis of PLBD2 using anti-PLBD2 antibody. Lane 1: human HepG2 whole cell lysates, Lane 2: human whole cell lysates. After electrophoresis, proteins were transferred to a nitrocellulose membrane at 150 mA for 50-90 minutes. Blocked the membrane with 5% non-fat milk/TBS for 1.5 hour at RT. The membrane was incubated with rabbit anti-PLBD2 antibody at 0.5 ug/ml overnight at 4oC, then washed with TBS-0.1%Tween 3 times with 5 minutes each and probed with a goat anti-rabbit IgG-HRP secondary antibody at a dilution of 1:5000 for 1.5 hour at RT. The signal was developed using enhanced chemiluminescent. A band is detected at ~70-75 kDa, slightly above the ~66 kDa prediction, consistent with the mature N-glycosylated forms of PLBD2 and heterogeneous processing of this secreted/lysosomal protein.
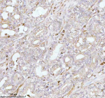
Immunohistochemical staining of PLBD2 using anti-PLBD2 antibody. PLBD2 was detected in a paraffin-embedded section of human prostate adenocarcinoma tissue. Heat mediated antigen retrieval was performed in EDTA buffer (pH 8.0, epitope retrieval solution). The tissue section was blocked with 10% goat serum. The tissue section was then incubated with 2 ug/ml rabbit anti-PLBD2 antibody overnight at 4oC. Peroxidase Conjugated Goat Anti-rabbit IgG was used as secondary antibody and incubated for 30 minutes at 37oC. The tissue section was developed using an HRP secondary and DAB substrate.
Immunohistochemical staining of PLBD2 using anti-PLBD2 antibody. PLBD2 was detected in a paraffin-embedded section of human rectum tissue. Heat mediated antigen retrieval was performed in EDTA buffer (pH 8.0, epitope retrieval solution). The tissue section was blocked with 10% goat serum. The tissue section was then incubated with 2 ug/ml rabbit anti-PLBD2 antibody overnight at 4oC. Peroxidase Conjugated Goat Anti-rabbit IgG was used as secondary antibody and incubated for 30 minutes at 37oC. The tissue section was developed using an HRP secondary and DAB substrate.
Immunohistochemical staining of PLBD2 using anti-PLBD2 antibody. PLBD2 was detected in a paraffin-embedded section of human rectum tissue. Heat mediated antigen retrieval was performed in EDTA buffer (pH 8.0, epitope retrieval solution). The tissue section was blocked with 10% goat serum. The tissue section was then incubated with 2 ug/ml rabbit anti-PLBD2 antibody overnight at 4oC. Peroxidase Conjugated Goat Anti-rabbit IgG was used as secondary antibody and incubated for 30 minutes at 37oC. The tissue section was developed using an HRP secondary and DAB substrate.
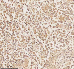
Immunohistochemical staining of PLBD2 using anti-PLBD2 antibody. PLBD2 was detected in a paraffin-embedded section of human spleen tissue. Heat mediated antigen retrieval was performed in EDTA buffer (pH 8.0, epitope retrieval solution). The tissue section was blocked with 10% goat serum. The tissue section was then incubated with 2 ug/ml rabbit anti-PLBD2 antibody overnight at 4oC. Peroxidase Conjugated Goat Anti-rabbit IgG was used as secondary antibody and incubated for 30 minutes at 37oC. The tissue section was developed using an HRP secondary and DAB substrate.
Immunohistochemical staining of PLBD2 using anti-PLBD2 antibody. PLBD2 was detected in a paraffin-embedded section of human spleen tissue. Heat mediated antigen retrieval was performed in EDTA buffer (pH 8.0, epitope retrieval solution). The tissue section was blocked with 10% goat serum. The tissue section was then incubated with 2 ug/ml rabbit anti-PLBD2 antibody overnight at 4oC. Peroxidase Conjugated Goat Anti-rabbit IgG was used as secondary antibody and incubated for 30 minutes at 37oC. The tissue section was developed using an HRP secondary and DAB substrate.
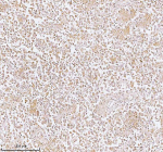
Immunohistochemical staining of PLBD2 using anti-PLBD2 antibody. PLBD2 was detected in a paraffin-embedded section of human testicular seminoma tissue. Heat mediated antigen retrieval was performed in EDTA buffer (pH 8.0, epitope retrieval solution). The tissue section was blocked with 10% goat serum. The tissue section was then incubated with 2 ug/ml rabbit anti-PLBD2 antibody overnight at 4oC. Peroxidase Conjugated Goat Anti-rabbit IgG was used as secondary antibody and incubated for 30 minutes at 37oC. The tissue section was developed using an HRP secondary and DAB substrate.
Immunohistochemical staining of PLBD2 using anti-PLBD2 antibody. PLBD2 was detected in a paraffin-embedded section of human testicular seminoma tissue. Heat mediated antigen retrieval was performed in EDTA buffer (pH 8.0, epitope retrieval solution). The tissue section was blocked with 10% goat serum. The tissue section was then incubated with 2 ug/ml rabbit anti-PLBD2 antibody overnight at 4oC. Peroxidase Conjugated Goat Anti-rabbit IgG was used as secondary antibody and incubated for 30 minutes at 37oC. The tissue section was developed using an HRP secondary and DAB substrate.
Immunofluorescent staining of PLBD2 using anti-PLBD2 antibody (green). PLBD2 was detected in an immunocytochemical section of U2OS cells. Enzyme antigen retrieval was performed using IHC enzyme antigen retrieval reagent for 15 mins. The cells were blocked with 10% goat serum. And then incubated with 5 ug/ml rabbit anti-PLBD2 antibody overnight at 4oC. DyLight 488 Conjugated Goat Anti-Rabbit IgG was used as secondary antibody at 1:500 dilution and incubated for 30 minutes at 37oC. The section was counterstained with DAPI nuclear stain (blue). Visualize using a fluorescence microscope and filter sets appropriate for the label used.
Immunofluorescent staining of FFPE human lung cancer tissue with PLBD2 antibody (red) and DAPI nuclear stain (blue). HIER: steam section in pH8 EDTA buffer for 20 min.
Flow cytometry analysis of fixed and permeabilized human HepG2 cells with PLBD2 antibody at 1ug/million cells (blocked with goat sera); Red=cells alone, Green=isotype control, Blue= PLBD2 antibody.
Availability 1-2 days
Species Reactivity Human
Format Lyophilized
Clonality Polyclonal (rabbit origin)
Isotype Rabbit IgG
Purity Immunogen affinity purified
Buffer Each vial contains 4 mg Trehalose, 0.9 mg NaCl, 0.2 mg Na2HPO4.
UniProt Q8NHP8
Localization Cytoplasm (lysosome)
Applications ELISA : 0.1-0.5ug/ml
Flow Cytometry : 1-3ug/million cells
Immunofluorescence : 5ug/ml
Immunohistochemistry : 2-5ug/ml
Immunocytochemistry : 5ug/ml
Western Blot : 0.25-0.5ug/ml
Limitations This PLBD2 antibody is available for research use only.
Review this product on BioCompare and get a $20 Amazon gift card

Description

PLBD2 antibody detects Phospholipase B domain-containing protein 2, a lysosomal enzyme implicated in lipid metabolism and cellular membrane remodeling. The UniProt recommended name is Phospholipase B domain-containing protein 2 (PLBD2). This protein belongs to the phospholipase B-like superfamily, which hydrolyzes both acyl chains of phospholipids to generate free fatty acids and glycerophosphates. Although the enzymatic activity of PLBD2 is still under characterization, evidence suggests roles in lipid turnover, immune defense, and autophagy.

Functionally, PLBD2 antibody recognizes a 516-amino-acid protein localized primarily in lysosomes and the endoplasmic reticulum. PLBD2 contains a conserved phospholipase B-like catalytic domain, which may mediate hydrolysis of membrane phospholipids and lysophospholipids. By modulating lipid composition, PLBD2 contributes to vesicle formation, endosomal trafficking, and lipid droplet metabolism. Its expression is induced by inflammatory cytokines and lipid stress, indicating a regulatory role in lipid homeostasis and immune signaling.

The PLBD2 gene is located on chromosome 12q13.13 and encodes a protein that shares structural features with classical phospholipases but displays distinct substrate specificity. While its catalytic mechanism remains partially defined, studies suggest that PLBD2 may participate in lipid recycling and detoxification under stress conditions. Proteomic analyses have identified PLBD2 as part of the lysosomal proteome, implicating it in membrane degradation and recycling of lipid components.

In immunology, PLBD2 has been linked to macrophage activation and inflammatory signaling. It may function as a lipid-modifying enzyme that influences phagosome maturation and pathogen clearance. Dysregulation of PLBD2 expression has been observed in metabolic disorders and cancers, suggesting that it plays a broader role in cellular metabolism and immune modulation. Elevated PLBD2 levels correlate with altered phospholipid profiles and increased autophagic activity in response to nutrient deprivation.

PLBD2 antibody is employed in lipidomics, immunology, and cell biology studies to investigate lysosomal function and lipid signaling pathways. It is useful for immunoblotting, immunofluorescence, and proteomic profiling of organelle-specific proteins. The enzyme's localization in the lysosomal compartment makes it an important marker for studies of membrane dynamics and lipid degradation. NSJ Bioreagents provides PLBD2 antibody reagents validated for use in research on lipid metabolism, autophagy, and membrane trafficking.

Structurally, PLBD2 contains the conserved GXGXXG motif characteristic of lipid-hydrolyzing enzymes and a putative signal peptide for targeting to intracellular membranes. Its domain organization suggests roles in lipid recognition and hydrolysis. Post-translational regulation may involve glycosylation and proteolytic processing that modulate catalytic efficiency. Ongoing research continues to clarify its enzymatic specificity and physiological relevance in lipid remodeling.

Application Notes

Optimal dilution of the PLBD2 antibody should be determined by the researcher.

Immunogen

E.coli-derived human PLBD2 recombinant protein (Position: Q108-Q525) was used as the immunogen for the PLBD2 antibody.

Storage

After reconstitution, the PLBD2 antibody can be stored for up to one month at 4oC. For long-term, aliquot and store at -20oC. Avoid repeated freezing and thawing.

Cross
Bulk Quote Request Form
Name*:
Organization*:
Email*:
Phone Number*:
Catalog No.*:
Comments and Specifics(amount, formulation, etc.)*:
Validation code: Captchapackage Image


Can't read the image? click here to refresh.
    *required field

Your bulk quote request has been submitted successfully!

Please contact us if you have any questions.