• Tel: 858.663.9055
  • SeparatorEmail: info@nsjbio.com
  • Tel: 858.663.9055
  • Email: info@nsjbio.com
Home >> Antibodies >> Platelet factor 4 Antibody / PF4

Platelet factor 4 Antibody / PF4 (R32448)

  Catalog No Formulation Size Price (USD)  
Image R32448 0.5mg/ml if reconstituted with 0.2ml sterile DI water 100 ug 439
Bulk quote request
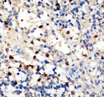
IHC staining of FFPE human spleen tissue with Platelet factor 4 antibody, HRP-secondary and DAB substrate. HIER: boil tissue sections in pH8 EDTA for 20 min and allow to cool before testing.
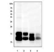
Western blot testing of 1) rat spleen, 2) rat lung, 3) mouse spleen and 4) mouse lung tissue lysate with Platelet factor 4 antibody at 0.5ug/ml. Expected molecular weight: ~8/16/32 kDa (monomer/dimer/tetramer).
Availability 1-3 business days
Species Reactivity Human
Format Antigen affinity purified
Clonality Polyclonal (rabbit origin)
Isotype Rabbit IgG
Purity Antigen affinity
Buffer Lyophilized from 1X PBS with 2% Trehalose
UniProt P02776
Applications Western Blot : 0.5-1ug/ml
Immunohistochemistry (FFPE) : 2-5ug/ml
ELISA : 0.1-0.5ug/ml (human protein tested); request BSA-free format for coating
Limitations This Platelet factor 4 antibody is available for research use only.
Review this product on BioCompare and get a $20 Amazon gift card

Related Products

Description

Platelet factor 4 (PF4) is a small chemokine released by activated platelets during clot formation. It binds to heparin and other glycosaminoglycans, neutralizing their anticoagulant activity and contributing to blood coagulation. PF4 also plays a role in immune regulation, angiogenesis, and inflammation.

Because of its role in thrombosis and immune-mediated disorders, PF4 has clinical importance in conditions such as heparin-induced thrombocytopenia (HIT). A Platelet factor 4 antibody is frequently used in research to study platelet biology, clotting mechanisms, and immune-mediated platelet disorders.

NSJ Bioreagents provides a high-quality Platelet factor 4 antibody that supports studies in hematology, immunology, and vascular biology. Using a Platelet factor 4 antibody can help researchers better understand platelet function and disease mechanisms.

Application Notes

Optimal dilution of the Platelet factor 4 antibody should be determined by the researcher.

Immunogen

Amino acids E32-S101 were used as the immunogen for the Platelet factor 4 antibody.

Storage

Prior to reconstitution, store at 4oC. After reconstitution, the Platelet factor 4 antibody can be stored for up to one month at 4oC. For long-term, aliquot and store at -20oC. Avoid repeated freezing and thawing.

Cross
Bulk Quote Request Form
Name*:
Organization*:
Email*:
Phone Number*:
Catalog No.*:
Comments and Specifics(amount, formulation, etc.)*:
Validation code: Captchapackage Image


Can't read the image? click here to refresh.
    *required field

Your bulk quote request has been submitted successfully!

Please contact us if you have any questions.