• Tel: 858.663.9055
  • SeparatorEmail: info@nsjbio.com
  • Tel: 858.663.9055
  • Email: info@nsjbio.com
Home >> Antibodies >> Plakophilin 2 Antibody / PKP2

Plakophilin 2 Antibody / PKP2 (RQ8741)

  Catalog No Formulation Size Price (USD)  
Image RQ8741 0.5mg/ml if reconstituted with 0.2ml sterile DI water 100 ug 439
Bulk quote request
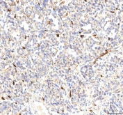
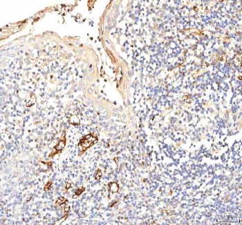
IHC staining of FFPE human tonsil tissue with Plakophilin 2 antibody. HIER: boil tissue sections in pH8 EDTA for 20 min and allow to cool before testing.
IHC staining of FFPE human lung cancer tissue with Plakophilin 2 antibody. HIER: boil tissue sections in pH8 EDTA for 20 min and allow to cool before testing.
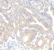
IHC staining of FFPE human colon adenocarcinoma tissue with Plakophilin 2 antibody. HIER: boil tissue sections in pH8 EDTA for 20 min and allow to cool before testing.
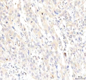
IHC staining of FFPE human liver cancer tissue with Plakophilin 2 antibody. HIER: boil tissue sections in pH8 EDTA for 20 min and allow to cool before testing.
IHC staining of FFPE human urothelial carcinoma tissue with Plakophilin 2 antibody. HIER: boil tissue sections in pH8 EDTA for 20 min and allow to cool before testing.
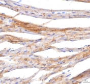
IHC staining of FFPE mouse cardiac tissue with Plakophilin 2 antibody. HIER: boil tissue sections in pH8 EDTA for 20 min and allow to cool before testing.
Immunofluorescent staining of FFPE human U-2 OS cells with Plakophilin 2 antibody (red) and Beta Tubulin mAb (green). HIER: steam section in pH6 citrate buffer for 20 min.
Western blot testing of 1) human HaCaT, 2) rat heart and 3) mouse heart tissue lysate with Plakophilin 2 antibody. Predicted molecular weight: 93-97 kDa.
Flow cytometry testing of fixed and permeabilized human U-87 MG cells with Plakophilin 2 antibody at 1ug/million cells (blocked with goat sera); Red=cells alone, Green=isotype control, Blue= Plakophilin 2 antibody.
Availability 1-3 days
Species Reactivity Human, Mouse, Rat
Format Antigen affinity purified
Clonality Polyclonal (rabbit origin)
Isotype Rabbit IgG
Purity Antigen affinity chromatography
Buffer Lyophilized from 1X PBS with 2% Trehalose
UniProt Q99959
Applications Western Blot : 1-2ug/ml
Immunohistochemistry (FFPE) : 2-5ug/ml
Flow Cytometry : 1-3ug/million cells
ELISA : 0.1-0.5ug/ml
Limitations This Plakophilin 2 antibody is available for research use only.
Review this product on BioCompare and get a $20 Amazon gift card

Related Products

  • Applications : WB
    Reactivity : Human, Mouse, Rat
  • Applications : WB, ELISA (peptide)
    Reactivity : Human, Mouse, Rat
    Pred. Reactivity : Dog, Cow
  • Applications : WB, Direct ELISA
    Reactivity : Human, Mouse, Rat

Description

Plakophilin-2 is a protein that in humans is encoded by the PKP2 gene. This gene encodes a member of the arm-repeat (armadillo) and plakophilin gene families. Plakophilin proteins contain numerous armadillo repeats, localize to cell desmosomes and nuclei, and participate in linking cadherins to intermediate filaments in the cytoskeleton. This gene may regulate the signaling activity of beta-catenin and is required to maintain transcription of genes that control intracellular calcium cycling including ryanodine receptor 2, ankyrin-B, triadin, and calcium channel, voltage-dependent, L type, alpha 1C. Mutations in this gene are associated with different inherited cardiac conditions including Arrythmogenic Cardiomyopathy, Brugada Syndrome, and Idiopathic Ventricular Fibrillation. A processed pseudogene with high similarity to this gene has been mapped to chromosome 12p13.

Application Notes

Optimal dilution of the Plakophilin 2 antibody should be determined by the researcher.

Immunogen

An E.coli-derived human recombinant protein (amino acids R369-Q804) was used as the immunogen for the Plakophilin 2 antibody.

Storage

After reconstitution, the Plakophilin 2 antibody can be stored for up to one month at 4oC. For long-term, aliquot and store at -20oC. Avoid repeated freezing and thawing.

Cross
Bulk Quote Request Form
Name*:
Organization*:
Email*:
Phone Number*:
Catalog No.*:
Comments and Specifics(amount, formulation, etc.)*:
Validation code: Captchapackage Image


Can't read the image? click here to refresh.
    *required field

Your bulk quote request has been submitted successfully!

Please contact us if you have any questions.