• Tel: 858.663.9055
  • SeparatorEmail: info@nsjbio.com
  • Tel: 858.663.9055
  • Email: info@nsjbio.com
Home >> Antibodies >> Plakoglobin Antibody / Gamma Catenin

Plakoglobin Antibody / Gamma Catenin (R31599)

  Catalog No Formulation Size Price (USD)  
Image R31599 0.5mg/ml if reconstituted with 0.2ml sterile DI water 100 ug 439
Bulk quote request
Western blot testing of 1) rat brain, 2) rat heart, 3) rat thymus, 4) rat RH35, 5) human HeLa, 6) human COLO-320, 7) human HepG2, 8) mouse HEPA1-6 and 9) human MCF7 cell lysate with Plakoglobin antibody. Expected molecular weight: ~86 kDa.
Western blot testing of Plakoglobin antibody and recombinant human protein (0.5ng).
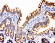
IHC-P: Plakoglobin antibody testing of human intestine cancer tissue. HIER: steam section in pH6 citrate buffer for 20 min.
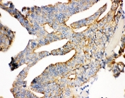
IHC(P) testing of Plakoglobin antibody and mouse intestine tissue. HIER: steam section in pH6 citrate buffer for 20 min.
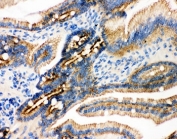
IHC(P) staining of rat intestine tissue. HIER: steam section in pH6 citrate buffer for 20 min.
IHC staining of frozen rat intestine tissue.
Immunofluorescent staining of FFPE human A431 cells with Plakoglobin antibody (green) and DAPI nuclear stain (blue). HIER: steam section in pH6 citrate buffer for 20 min.
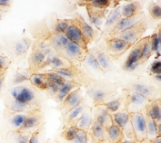
ICC staining of FFPE human MCF7 with Plakoglobin antibody. HIER: boil tissue sections in pH6, 10mM citrate buffer, for 20 min and allow to cool before testing.
Flow cytometry testing of human A431 cells with Plakoglobin antibody at 1ug/million cells (blocked with goat sera); Red=cells alone, Green=isotype control, Blue= Plakoglobin antibody.
Western blot testing of 1) human 293T, 2) MCF7, 3) T-47D and 4) rat heart tissue lysate with Plakoglobin antibody. Expected molecular weight: ~86 kDa.
Availability 1-3 business days
Species Reactivity Human, Mouse, Rat
Format Antigen affinity purified
Clonality Polyclonal (rabbit origin)
Isotype Rabbit IgG
Purity Antigen affinity
Buffer Lyophilized from 1X PBS with 2.5% BSA and 0.025% sodium azide
Gene ID 3728
Applications Western Blot : 0.5-1ug/ml
Immunohistochemistry (FFPE) : 0.5-1ug/ml
Immunohistochemistry (Frozen) : 0.5-1ug/ml
Immunocytochemistry : 0.5-1ug/ml
Immunofluorescence (FFPE) : 2-4ug/ml
Flow Cytometry : 1-3ug/million cells
Limitations This Plakoglobin antibody is available for research use only.
Review this product on BioCompare and get a $20 Amazon gift card

Related Products

Description

Junction Plakoglobin (JUP), also known asgamma-catenin, is a protein that in humans is encoded by the JUP gene. It is a member of the catenin protein family and homologous tob-catenin, and it is mapped to 17q21.2. This gene encodes a major cytoplasmic protein that is the only known constituent common to submembranous plaques of both desmosomes and intermediate junctions. This protein forms distinct complexes with cadherins and desmosomal cadherins. Additionally, Plakoglobin may have distinct roles in Wnt signaling and cancer via differential effects on downstream target genes.

Application Notes

The stated application concentrations are suggested starting amounts. Titration of the Plakoglobin antibody may be required due to differences in protocols and secondary/substrate sensitivity.

Immunogen

Human partial recombinant protein (AA 556-745) was used as the immunogen for this Plakoglobin antibody.

Storage

After reconstitution, the Plakoglobin antibody can be stored for up to one month at 4oC. For long-term, aliquot and store at -20oC. Avoid repeated freezing and thawing.

Cross
Bulk Quote Request Form
Name*:
Organization*:
Email*:
Phone Number*:
Catalog No.*:
Comments and Specifics(amount, formulation, etc.)*:
Validation code: Captchapackage Image


Can't read the image? click here to refresh.
    *required field

Your bulk quote request has been submitted successfully!

Please contact us if you have any questions.