• Tel: 858.663.9055
  • SeparatorEmail: info@nsjbio.com
  • Tel: 858.663.9055
  • Email: info@nsjbio.com
Home >> Antibodies >> Plakoglobin Antibody / Gamma Catenin

Plakoglobin Antibody / Gamma Catenin [clone CTNG/1483] (V3235)

  Catalog No Formulation Size Price (USD)  
Image V3235-100UG 0.2 mg/ml in 1X PBS with 0.1 mg/ml BSA (US sourced) and 0.05% sodium azide 100 ug 539
Image
V3235-20UG 0.2 mg/ml in 1X PBS with 0.1 mg/ml BSA (US sourced) and 0.05% sodium azide 20 ug 249
Image
V3235SAF-100UG 1 mg/ml in 1X PBS; BSA free, sodium azide free 100 ug 539
Bulk quote request
IHC testing of FFPE human cervical carcinoma with Plakoglobin antibody (clone CTNG/1483). Required HIER: boil tissue sections in 10mM Tris with 1mM EDTA, pH 9, for 10-20 min.
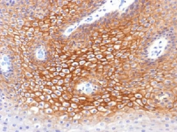
IHC testing of FFPE human skin with Plakoglobin antibody (clone CTNG/1483). Required HIER: boil tissue sections in 10mM Tris with 1mM EDTA, pH 9, for 10-20 min.
Availability 1-3 business days
Species Reactivity Human
Format Purified
Clonality Monoclonal (mouse origin)
Isotype Mouse IgG1, kappa
Clone Name CTNG/1483
Purity Protein G affinity chromatography
UniProt P14923
Localization Cell surface, cytoplasmic, cell junctions
Applications Immunohistochemistry (FFPE) : 0.1-0.2ug/ml for 30 min at RT
Limitations This Plakoglobin antibody is available for research use only.
Review this product on BioCompare and get a $20 Amazon gift card

Related Products

Description

Plakoglobin, also known as junction plakoglobin or gamma-catenin, is a protein that in humans is encoded by the JUP gene. It is a member of the catenin protein family and homologous to β-catenin. It is a cytoplasmic component of desmosomes and adherens junctions structures located within intercalated discs of cardiac muscle that function to anchor sarcomeres and join adjacent cells in cardiac muscle. Mutations in Plakoglobin are associated with arrhythmogenic right ventricular dysplasia and Pemphigus vulgaris.

Plakoglobin is a major cytoplasmic component of both desmosomes and adherens junctions, and is the only known constituent common to submembranous plaques in both of these structures, which are located at the intercalated disc (ICD) of cardiomyocytes. It links cadherins to the actin cytoskeleton. Plakoglobin binds to conserved regions of desmoglein and desmocollin at intracellular catenin-binding sites to assemble desmosomes. [Wiki]

Application Notes

The stated application concentrations are suggested starting amounts. Titration of the Plakoglobin antibody may be required due to differences in protocols and secondary/substrate sensitivity.

Immunogen

Recombinant human protein was used as the immunogen for the Plakoglobin antibody.

Storage

Store the Plakoglobin antibody at 2-8oC (with azide) or aliquot and store at -20oC or colder (without azide).

Cross
Bulk Quote Request Form
Name*:
Organization*:
Email*:
Phone Number*:
Catalog No.*:
Comments and Specifics(amount, formulation, etc.)*:
Validation code: Captchapackage Image


Can't read the image? click here to refresh.
    *required field

Your bulk quote request has been submitted successfully!

Please contact us if you have any questions.