• Tel: 858.663.9055
  • SeparatorEmail: info@nsjbio.com
  • Tel: 858.663.9055
  • Email: info@nsjbio.com
Home >> Antibodies >> Plakoglobin Antibody / Gamma Catenin

Plakoglobin Antibody / Gamma Catenin [clone 15F11] (V3205)

  Catalog No Formulation Size Price (USD)  
Image V3205-100UG 0.2 mg/ml in 1X PBS with 0.1 mg/ml BSA (US sourced) and 0.05% sodium azide 100 ug 539
Image
V3205-20UG 0.2 mg/ml in 1X PBS with 0.1 mg/ml BSA (US sourced) and 0.05% sodium azide 20 ug 249
Image
V3205SAF-100UG 1 mg/ml in 1X PBS; BSA free, sodium azide free 100 ug 539
Bulk quote request
Immunofluorescent staining of human HeLa cells with Plakoglobin antibody (clone 15F11, green) and Reddot nuclear stain (red).
Western blot testing of human 1) HT20, 2) HEK293, 3) A431, 4) MCF7, 5) HEPG2 and 6) A549 cell lysate with Plakoglobin antibody (clone 15F11). Predicted molecular weight: 80-87 kDa.
Flow cytometry testing of PFA-fixed human MCF7 cells with Plakoglobin antibody (clone 15F11); Red=isotype control, Blue= Plakoglobin antibody.
Western blot testing of human 1) HeLa and 2) SK-BR-3 cell lysate with Plakoglobin antibody (clone 15F11). Predicted molecular weight: 80-87 kDa.
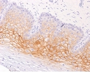
IHC staining of FFPE human cervix with Plakoglobin antibody (clone 15F11). HIER: boil tissue sections in pH 9 10mM Tris with 1mM EDTA for 20 min and allow to cool before testing.
Availability 1-3 business days
Species Reactivity Human, Mouse, Rat
Format Purified
Clonality Monoclonal (mouse origin)
Isotype Mouse IgG1, kappa
Clone Name 15F11
Purity Protein G affinity chromatography
UniProt P14923
Localization Cell surface, cytoplasmic, cell junctions
Applications Western Blot : 1-2ug/ml
Immunohistochemistry (FFPE) : 1-2ug/ml
Immunofluorescence : 1-2 ug/ml
Flow Cytometry : 1-2ug/million cells
Limitations This Plakoglobin antibody is available for research use only.
Review this product on BioCompare and get a $20 Amazon gift card

Related Products

Description

Plakoglobin, or gamma Catenin, is a common junctional plaque protein. The membrane-associated plaques are architectural elements in an important strategic position to influence the arrangement and function of both the cytoskeleton and the cells within the tissue. The presence of Plakoglobin in both the desmosomes and in the intermediate junctions suggests that it plays a central role in the structure and function of submembranous plaques. Acts as a substrate for VE-PTP and is required by it to stimulate VE-cadherin function in endothelial cells. Can replace beta-catenin in E-cadherin/catenin adhesion complexes which are proposed to couple cadherins to the actin cytoskeleton (By similarity). [UniProt]

Application Notes

The stated application concentrations are suggested starting amounts. Titration of the Plakoglobin antibody may be required due to differences in protocols and secondary/substrate sensitivity.

Immunogen

Recombinant full length chicken gamma Catenin was used as the immunogen for the Plakoglobin antibody.

Storage

Store the Plakoglobin antibody at 2-8oC (with azide) or aliquot and store at -20oC or colder (without azide).

Cross
Bulk Quote Request Form
Name*:
Organization*:
Email*:
Phone Number*:
Catalog No.*:
Comments and Specifics(amount, formulation, etc.)*:
Validation code: Captchapackage Image


Can't read the image? click here to refresh.
    *required field

Your bulk quote request has been submitted successfully!

Please contact us if you have any questions.