• Tel: 858.663.9055
  • SeparatorEmail: info@nsjbio.com
  • Tel: 858.663.9055
  • Email: info@nsjbio.com
Home >> Antibodies >> PLA2G6 Antibody / CaI-PLA2

PLA2G6 Antibody / CaI-PLA2 (RQ4321)

  Catalog No Formulation Size Price (USD)  
Image RQ4321 0.5mg/ml if reconstituted with 0.2ml sterile DI water 100 ug 439
Bulk quote request
Immunofluorescent staining of FFPE human U-2 OS cells with PLA2G6 antibody (green) and DAPI nuclear stain (blue). HIER: steam section in pH6 citrate buffer for 20 min.
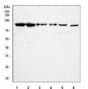
Western blot testing of 1) human HEL, 2) human Jurkat, 3) human 293T, 4) human K562, 5) rat testis and 6) mouse testis tissue lysate with PLA2G6 antibody at 0.5ug/ml. Expected molecular weight: 85-90 kDa.
Availability 1-3 business days
Species Reactivity Human, Mouse, Rat
Format Antigen affinity purified
Clonality Polyclonal (rabbit origin)
Isotype Rabbit IgG
Purity Antigen affinity purified
Buffer Lyophilized from 1X PBS with 2% Trehalose
UniProt O60733
Localization Cell membrane, cytoplasm
Applications Western Blot : 0.5-1ug/ml
Immunofluorescence : 5ug/ml
Direct ELISA : 0.1-0.5ug/ml
Limitations This PLA2G6 antibody is available for research use only.
Review this product on BioCompare and get a $20 Amazon gift card

Related Products

Description

Phospholipase A2 group VI (PLA2G6), also known as calcium-independent phospholipase A2 (CaI-PLA2), is an enzyme that hydrolyzes the sn-2 ester bond of phospholipids to release free fatty acids and lysophospholipids. Unlike calcium-dependent phospholipases, PLA2G6 functions independently of Ca2+ for catalytic activity, making it essential in membrane remodeling, phospholipid metabolism, and the generation of bioactive lipid mediators.

PLA2G6 is expressed in a wide range of tissues and is involved in processes such as signal transduction, apoptosis, and inflammation. Mutations in the PLA2G6 gene have been associated with neurodegenerative conditions, including infantile neuroaxonal dystrophy and dystonia-parkinsonism syndromes. Research on PLA2G6 has also linked it to lipid signaling pathways that influence immune responses and neuronal function. Detecting and quantifying this protein can provide valuable insights into both normal cellular physiology and disease mechanisms.

Using a high-quality PLA2G6 antibody allows for precise protein localization and quantification in assays such as western blot, immunohistochemistry, and immunofluorescence. A PLA2G6 antibody from NSJ Bioreagents can help ensure reproducible and reliable results, supporting studies on lipid metabolism, neurodegeneration, and inflammatory signaling. Selecting the appropriate PLA2G6 antibody is critical for advancing research and uncovering new therapeutic targets.

Application Notes

Optimal dilution of the PLA2G6 antibody should be determined by the researcher.

Immunogen

A recombinant human protein corresponding to amino acids W715-L802 was used as the immunogen for the PLA2G6 antibody.

Storage

After reconstitution, the PLA2G6 antibody can be stored for up to one month at 4oC. For long-term, aliquot and store at -20oC. Avoid repeated freezing and thawing.

Cross
Bulk Quote Request Form
Name*:
Organization*:
Email*:
Phone Number*:
Catalog No.*:
Comments and Specifics(amount, formulation, etc.)*:
Validation code: Captchapackage Image


Can't read the image? click here to refresh.
    *required field

Your bulk quote request has been submitted successfully!

Please contact us if you have any questions.