• Tel: 858.663.9055
  • SeparatorEmail: info@nsjbio.com
  • Tel: 858.663.9055
  • Email: info@nsjbio.com
Home >> Antibodies >> PKM2 Antibody

PKM2 Antibody (F40140)

  Catalog No Formulation Size Price (USD)  
Image F40140-0.2ML In 1X PBS, pH 7.4, with 0.09% sodium azide 0.2 ml 429
Image
F40140-0.05ML In 1X PBS, pH 7.4, with 0.09% sodium azide 0.05 ml 199
Bulk quote request
Western blot analysis of lysate from 1) human HeLa, 2) human A549, 3) mouse NIH3T3, 4) mouse C2C12, and 5) rat PC-12 lysate using PKM2 antibody at 1:1000. Predicted molecular weight ~58 KDa.
Western blot testing of human 1) HeLa and 2) MCF-7 cell lysate using PKM2 antibody. Predicted molecular weight ~58 KDa.
Fluorescent confocal image of MCF7 cells stained with PKM2 antibody. Alexa Fluor 488 conjugated donkey anti-rabbit secondary Ab (green) was used (1:1000, 1h). Nuclei were counterstained with Hoechst 33342 (blue) (10 ug/ml, 5 min). PKM2 is localized to the cytoplasm.
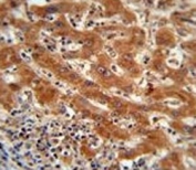
PKM2 antibody immunohistochemistry analysis in formalin fixed and paraffin embedded human hepatocarcinoma.
Availability 1-3 business days
Species Reactivity Human, Mouse, Primate, Rat
Format Purified
Clonality Polyclonal (rabbit origin)
Isotype Rabbit Ig
Purity Purified
UniProt P14618
Applications Immunofluorescence : 1:200
Western Blot : 1:1000
IHC (Paraffin) : 1:50-1:1:100
Limitations This PKM2 antibody is available for research use only.
Review this product on BioCompare and get a $20 Amazon gift card

Related Products

Description

PKM2 is a glycolytic enzyme that catalyzes the transfer of a phosphoryl group from phosphoenolpyruvate (PEP) to ADP, generating ATP. Stimulates POU5F1-mediated transcriptional activation. Plays a general role in caspase independent cell death of tumor cells. The ratio betwween the highly active tetrameric form and nearly inactive dimeric form determines whether glucose carbons are channeled to biosynthetic processes or used for glycolytic ATP production. The transition between the 2 forms contributes to the control of glycolysis and is important for tumor cell proliferation and survival. [UniProt]

Application Notes

Titration of the PKM2 antibody may be required due to differences in protocols and secondary/substrate sensitivity.

Immunogen

A portion of amino acids 476-505 from the human protein was used as the immunogen for this PKM2 antibody.

Storage

Aliquot the PKM2 antibody and store frozen at -20oC or colder. Avoid repeated freeze-thaw cycles.

Cross
Bulk Quote Request Form
Name*:
Organization*:
Email*:
Phone Number*:
Catalog No.*:
Comments and Specifics(amount, formulation, etc.)*:
Validation code: Captchapackage Image


Can't read the image? click here to refresh.
    *required field

Your bulk quote request has been submitted successfully!

Please contact us if you have any questions.