• Tel: 858.663.9055
  • SeparatorEmail: info@nsjbio.com
  • Tel: 858.663.9055
  • Email: info@nsjbio.com
Home >> Antibodies >> PKLR Antibody / Pyruvate kinase isozymes L/R

PKLR Antibody / Pyruvate kinase isozymes L/R (R32061)

  Catalog No Formulation Size Price (USD)  
Image R32061 0.5mg/ml if reconstituted with 0.2ml sterile DI water 100 ug 439
Bulk quote request
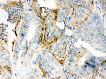
IHC testing of FFPE human intestinal cancer with PKLR antibody. HIER: Boil the paraffin sections in pH 6, 10mM citrate buffer for 20 minutes and allow to cool prior to staining.
Western blot testing of 1) human HepG2, 2) rat liver and 3) mouse liver tissue lysate with PKLR antibody. Predicted molecular weight ~62 kDa.
Availability 1-3 business days
Species Reactivity Human, Mouse, Rat
Format Antigen affinity purified
Clonality Polyclonal (rabbit origin)
Isotype Rabbit IgG
Purity Antigen affinity
Buffer Lyophilized from 1X PBS with 2.5% BSA and 0.025% sodium azide
UniProt P30613
Localization Cytoplasmic
Applications Western Blot : 0.1-0.5ug/ml
Immunohistochemistry (FFPE) : 0.5-1ug/ml
Limitations This PKLR antibody is available for research use only.
Review this product on BioCompare and get a $20 Amazon gift card

Description

Pyruvate kinase isozymes L/R is an enzyme that in humans is encoded by the PKLR gene. It is mapped to 1q21. The protein encoded by this gene is a pyruvate kinase that catalyzes the transphosphorylation of phohsphoenolpyruvate into pyruvate and ATP, which is the rate-limiting step of glycolysis. Defects in this enzyme, due to gene mutations or genetic variations, are the common cause of chronic hereditary nonspherocytic hemolytic anemia (CNSHA or HNSHA). Multiple transcript variants encoding different isoforms have been found for this gene.

Application Notes

Optimal dilution of the PKLR antibody should be determined by the researcher.

Immunogen

Amino acids EAIWADDVDRRVQFGIESGKLRGFLRVGDLV of human PKLR were used as the immunogen for the PKLR antibody.

Storage

After reconstitution, the PKLR antibody can be stored for up to one month at 4oC. For long-term, aliquot and store at -20oC. Avoid repeated freezing and thawing.

Cross
Bulk Quote Request Form
Name*:
Organization*:
Email*:
Phone Number*:
Catalog No.*:
Comments and Specifics(amount, formulation, etc.)*:
Validation code: Captchapackage Image


Can't read the image? click here to refresh.
    *required field

Your bulk quote request has been submitted successfully!

Please contact us if you have any questions.