• Tel: 858.663.9055
  • SeparatorEmail: info@nsjbio.com
  • Tel: 858.663.9055
  • Email: info@nsjbio.com
Home >> Antibodies >> PKI beta Antibody / PRKACN2 / PKIB

PKI beta Antibody / PRKACN2 / PKIB (RQ7099)

  Catalog No Formulation Size Price (USD)  
Image RQ7099 0.5mg/ml if reconstituted with 0.2ml sterile DI water 100 ug 439
Bulk quote request
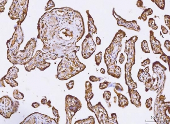
IHC staining of FFPE human placental tissue with PKI beta antibody. HIER: boil tissue sections in pH8 EDTA for 20 min and allow to cool before testing.
Availability 1-3 business days
Species Reactivity Human
Format Antigen affinity purified
Clonality Polyclonal (rabbit origin)
Isotype Rabbit IgG
Purity Antigen affinity purified
Buffer Lyophilized from 1X PBS with 2% Trehalose
UniProt Q9C010
Localization Cytoplasmic, nuclear
Applications Immunohistochemistry (FFPE) : 2-5ug/ml
Direct ELISA : 0.1-0.5ug/ml
Limitations This PKI beta antibody is available for research use only.
Review this product on BioCompare and get a $20 Amazon gift card

Description

cAMP-dependent protein kinase inhibitor beta is a protein that in humans is encoded by the PKIB gene. This gene encodes a member of the cAMP-dependent protein kinase inhibitor family. The encoded protein may play a role in the protein kinase A (PKA) pathway by interacting with the catalytic subunit of PKA, and overexpression of this gene may play a role in prostate cancer. Alternatively spliced transcript variants encoding multiple isoforms have been observed for this gene.

Application Notes

Optimal dilution of the PKI beta antibody should be determined by the researcher.

Immunogen

Recombinant human protein (amino acids M1-K78) was used as the immunogen for the PKI beta antibody.

Storage

After reconstitution, the PKI beta antibody can be stored for up to one month at 4oC. For long-term, aliquot and store at -20oC. Avoid repeated freezing and thawing.

Cross
Bulk Quote Request Form
Name*:
Organization*:
Email*:
Phone Number*:
Catalog No.*:
Comments and Specifics(amount, formulation, etc.)*:
Validation code: Captchapackage Image


Can't read the image? click here to refresh.
    *required field

Your bulk quote request has been submitted successfully!

Please contact us if you have any questions.