• Tel: 858.663.9055
  • SeparatorEmail: info@nsjbio.com
  • Tel: 858.663.9055
  • Email: info@nsjbio.com
Home >> Antibodies >> PKC delta/theta Antibody / PRKCD/PRKCQ

PKC delta/theta Antibody / PRKCD/PRKCQ [clone 31P77] (FY12804)

  Catalog No Formulation Size Price (USD)  
Image FY12804 Rabbit IgG in phosphate buffered saline, pH 7.4, 150mM NaCl, 0.02% sodium azide and 50% glycerol, 0.4-0.5mg/ml BSA 100 ul 439
Microvalidated Recrabbitmono
Bulk quote request
Mouse heart tissue lysate tested with PKC delta/theta Antibody at 1:1000 dilution for 1 hour at room temperature. Predicted molecular weight: 68-82 kDa.
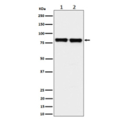
Western blot analysis of PKC delta + PKC theta expression in (1) human HeLa cell lysate; (2) mouse Raw264.7 cell lysate using PKC delta/theta Antibody. Predicted molecular weight: 68-82 kDa.
All lanes use the PKC delta/theta Antibody at 1:1000 dilution for 1 hour at room temperature. Predicted molecular weight: 68-82 kDa.
All lanes use the PKC delta/theta Antibody at 1:1000 dilution for 1 hour at room temperature. Predicted molecular weight: 68-82 kDa.
Availability 2-3 weeks
Species Reactivity Human, Mouse, Rat
Format Liquid
Clonality Recombinant Rabbit Monoclonal
Isotype Rabbit IgG
Clone Name 31P77
Purity Affinity chromatography
Buffer Rabbit IgG in phosphate buffered saline, pH 7.4, 150mM NaCl, 0.02% sodium azide and 50% glycerol, 0.4-0.5mg/ml BSA.
UniProt Q05655 , Q04759
Applications Western Blot : 1:500-1:2000
Immunohistochemistry : 1:50-1:200
Immunocytochemistry/Immunofluorescence : 1:50-1:200
Limitations This PKC delta/theta Antibody is available for research use only.
Review this product on BioCompare and get a $20 Amazon gift card

Related Products

  • Applications : WB
    Reactivity : Human
  • Applications : WB, IHC, ELISA
    Reactivity : Human
  • Applications : WB, ELISA (peptide)
    Reactivity : Human, Mouse
    Pred. Reactivity : Cow, Dog, Rat
  • Applications : WB, IHC-P, IF FACS, Direct ELISA
    Reactivity : Human, Mouse, Rat

Description

PKC delta/theta antibody detects protein kinase C delta and protein kinase C theta, encoded by the PRKCD and PRKCQ genes. PKC delta is also called nPKC delta, while PKC theta is known as nPKC theta. Both belong to the novel PKC subfamily, which are activated by diacylglycerol but not calcium. PKC delta is broadly expressed and regulates apoptosis, proliferation, and differentiation, while PKC theta is highly enriched in T cells and is critical for T cell receptor signaling and immune synapse formation. Detecting both isoforms with a single antibody provides a versatile approach for studying PKC signaling across systems.

PKC delta/theta antibody is widely applied in immunology, cancer biology, and signal transduction studies. PKC delta acts as a tumor suppressor or promoter depending on context, influencing apoptosis, DNA damage responses, and cell cycle regulation. PKC theta is essential for T cell activation, NF kappa B signaling, and cytokine production. By detecting both isoforms, researchers can evaluate overlapping and distinct functions in immunity, cancer, and tissue homeostasis.

Applications for PKC delta/theta antibody include western blotting, immunohistochemistry, and immunofluorescence. Western blot assays detect PKC isoforms in immune and cancer cell lysates, immunohistochemistry maps expression in tissues, and immunofluorescence highlights subcellular localization at membranes and cytoskeleton. These methods support detailed characterization of PKC signaling dynamics.

PKC delta contributes to apoptosis in response to DNA damage and oxidative stress, while PKC theta mediates survival signals in T cells. Dysregulated activity of either isoform contributes to autoimmunity, cancer progression, and cardiovascular disease. By applying PKC delta/theta antibody, scientists can examine how combined PKC signaling influences disease outcomes and therapeutic responses.

PKC isoforms are therapeutic targets, with inhibitors and modulators under development for cancer and immune disorders. Monitoring PKC delta and PKC theta expression provides biomarkers for pathway activity. PKC delta/theta antibody from NSJ Bioreagents provides strong specificity for these isoforms, supporting both mechanistic and translational research.

Application Notes

Optimal dilution of the PKC delta/theta Antibody should be determined by the researcher.

Immunogen

A synthesized peptide derived from human PKC delta + PKC theta was used as the immunogen for the PKC delta/theta Antibody.

Storage

Store the PKC delta/theta Antibody at -20oC.

Cross
Bulk Quote Request Form
Name*:
Organization*:
Email*:
Phone Number*:
Catalog No.*:
Comments and Specifics(amount, formulation, etc.)*:
Validation code: Captchapackage Image


Can't read the image? click here to refresh.
    *required field

Your bulk quote request has been submitted successfully!

Please contact us if you have any questions.