• Tel: 858.663.9055
  • SeparatorEmail: info@nsjbio.com
  • Tel: 858.663.9055
  • Email: info@nsjbio.com
Home >> Antibodies >> PKC Antibody / Protein kinase C

PKC Antibody / Protein kinase C [clone 31P91] (FY12157)

  Catalog No Formulation Size Price (USD)  
Image FY12157 Rabbit IgG in phosphate buffered saline, pH 7.4, 150mM NaCl, 0.02% sodium azide and 50% glycerol, 0.4-0.5mg/ml BSA 100 ul 439
Microvalidated Recrabbitmono
Bulk quote request
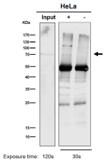
All lanes use the PKC antibody at 1:5K dilution for 1 hour at room temperature.
All lanes use the PKC antibody at 1:5K dilution for 1 hour at room temperature.
All lanes use the PKC antibody at 1:5K dilution for 1 hour at room temperature.
Western blot analysis of PKC expression in (1) HeLa cell lysate; (2) cell lysate using PKC antibody.
Immunoprecipitation analysis using the PKC antibody at 1:50 dilution. (Western blot at 1:1K dilution)
Availability 2-3 weeks
Species Reactivity Human, Mouse, Rat
Format Liquid
Clonality Recombinant Rabbit Monoclonal
Isotype Rabbit IgG
Clone Name 31P91
Purity Affinity-chromatography
Buffer Rabbit IgG in phosphate buffered saline, pH 7.4, 150mM NaCl, 0.02% sodium azide and 50% glycerol, 0.4-0.5mg/ml BSA.
UniProt P05129 , P05771 , P17252 , Q02156 , Q05513 , Q05655
Applications Western Blot : 1:500-1:2000
Immunocytochemistry/Immunofluorescence : 1:50-1:200
Immunoprecipitation : 1:50
Flow Cytometry : 1:50
Limitations This PKC antibody is available for research use only.
Review this product on BioCompare and get a $20 Amazon gift card

Description

PKC antibody detects Protein kinase C (PKC), a family of serine/threonine kinases that play critical roles in cellular signal transduction, gene expression, and membrane receptor regulation. The UniProt recommended name is Protein kinase C. This enzyme family mediates diverse biological responses by phosphorylating target proteins involved in proliferation, apoptosis, differentiation, and cytoskeletal organization. PKC enzymes are key downstream effectors of diacylglycerol (DAG) and calcium signaling pathways, serving as central hubs that integrate extracellular signals into intracellular responses.

Protein kinase C includes multiple isoforms that can be broadly divided into three classes: conventional (alpha, beta, gamma), novel (delta, epsilon, eta, theta), and atypical (zeta, iota/lambda). Each isoform differs in its activation requirements and tissue distribution. Conventional isoforms require both calcium and DAG for activation, whereas novel isoforms are calcium-independent but DAG-dependent. Atypical isoforms do not require either calcium or DAG, responding instead to other lipid mediators. These differences allow PKC family members to finely tune signaling cascades in a context-dependent manner.

Functionally, PKC regulates numerous processes such as receptor desensitization, ion channel modulation, transcription factor activation, and cytoskeletal remodeling. It is activated by various stimuli including growth factors, hormones, and neurotransmitters through phospholipase C-mediated generation of DAG. Once activated, PKC translocates to cellular membranes where it phosphorylates specific substrates, leading to altered protein activity and gene expression. In neurons, PKC modulates synaptic plasticity, while in cardiac and smooth muscle it influences contraction and metabolism.

The PKC gene family is expressed across nearly all tissues, with particular enrichment in brain, heart, and skeletal muscle. Dysregulation of PKC activity has been linked to pathological conditions such as cancer, diabetes, neurodegeneration, and cardiovascular disease. In oncology, PKC can act as either a tumor promoter or suppressor depending on the isoform and cellular context. Therefore, antibodies targeting PKC are valuable tools for investigating its expression patterns, activation states, and downstream signaling pathways.

PKC antibody is useful in immunohistochemistry, immunofluorescence, and related assays to assess protein localization, phosphorylation-dependent signaling, and isoform-specific expression. By detecting total PKC or specific subtypes, researchers can study its role in signal transduction and disease progression. NSJ Bioreagents provides PKC antibody reagents optimized for research in kinase signaling, cellular communication, and phosphoregulation studies.

Application Notes

Optimal dilution of the PKC antibody should be determined by the researcher.

Immunogen

A synthesized peptide derived from human PKC was used as the immunogen for the PKC antibody.

Storage

Store the PKC antibody at -20oC.

Cross
Bulk Quote Request Form
Name*:
Organization*:
Email*:
Phone Number*:
Catalog No.*:
Comments and Specifics(amount, formulation, etc.)*:
Validation code: Captchapackage Image


Can't read the image? click here to refresh.
    *required field

Your bulk quote request has been submitted successfully!

Please contact us if you have any questions.