• Tel: 858.663.9055
  • SeparatorEmail: info@nsjbio.com
  • Tel: 858.663.9055
  • Email: info@nsjbio.com
Home >> Antibodies >> PITX2 Antibody

PITX2 Antibody (RQ5602)

  Catalog No Formulation Size Price (USD)  
Image RQ5602 0.5mg/ml if reconstituted with 0.2ml sterile DI water 100 ug 439
Bulk quote request
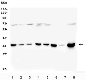
Western blot testing of human 1) Caco-2, 2) HEK293, 3) U-2 OS, 4) HeLa, 5) A549, 6) U-87 MG, 7) rat heart and 8) mouse RAW264.7 lysate with PITX2 antibody. Predicted molecular weight ~35 kDa.
Availability 1-3 business days
Species Reactivity Human, Mouse, Rat
Format Antigen affinity purified
Clonality Polyclonal (rabbit origin)
Isotype Rabbit IgG
Purity Affinity purified
Buffer Lyophilized from 1X PBS with 2% Trehalose and 0.025% sodium azide
UniProt Q99697
Applications Western Blot : 0.25-0.5ug/ml
Limitations This PITX2 antibody is available for research use only.
Review this product on BioCompare and get a $20 Amazon gift card

Related Products

  • Applications : WB, ELISA
    Reactivity : Human
  • Applications : WB, IF, ELISA
    Reactivity : Human
    Pred. Reactivity : Mouse, Rat, Chicken, Zebrafish, Xenopus

Description

Paired-like homeodomain transcription factor 2 also known as pituitary homeobox 2 is a protein that in humans is encoded by the PITX2 gene. It is mapped to 4q25. This gene encodes a member of the RIEG/PITX homeobox family, which is in the bicoid class of homeodomain proteins. The encoded protein acts as a transcription factor and regulates procollagen lysyl hydroxylase gene expression. This protein plays a role in the terminal differentiation of somatotroph and lactotroph cell phenotypes, is involved in the development of the eye, tooth and abdominal organs, and acts as a transcriptional regulator involved in basal and hormone-regulated activity of prolactin. Mutations in this gene are associated with Axenfeld-Rieger syndrome, iridogoniodysgenesis syndrome, and sporadic cases of Peters anomaly. A similar protein in other vertebrates is involved in the determination of left-right asymmetry during development. Alternatively spliced transcript variants encoding distinct isoforms have been described.

Application Notes

Optimal dilution of the PITX2 antibody should be determined by the researcher.

Immunogen

Amino acids METNCRKLVSACVQLGVQPAAVECLFSKDSEIKK were used as the immunogen for the PITX2 antibody.

Storage

After reconstitution, the PITX2 antibody can be stored for up to one month at 4oC. For long-term, aliquot and store at -20oC. Avoid repeated freezing and thawing.

Cross
Bulk Quote Request Form
Name*:
Organization*:
Email*:
Phone Number*:
Catalog No.*:
Comments and Specifics(amount, formulation, etc.)*:
Validation code: Captchapackage Image


Can't read the image? click here to refresh.
    *required field

Your bulk quote request has been submitted successfully!

Please contact us if you have any questions.