• Tel: 858.663.9055
  • SeparatorEmail: info@nsjbio.com
  • Tel: 858.663.9055
  • Email: info@nsjbio.com
Home >> Antibodies >> PITPNB Antibody / PI-TP-beta

PITPNB Antibody / PI-TP-beta (RQ7934)

  Catalog No Formulation Size Price (USD)  
Image RQ7934 0.5mg/ml if reconstituted with 0.2ml sterile DI water 100 ug 439
Bulk quote request
Immunofluorescent staining of FFPE human esophageal squamous cell carcinoma tissue with PITPNB antibody (green) and DAPI nuclear stain (blue). HIER: steam section in pH8 EDTA buffer for 20 min.
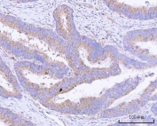
IHC staining of FFPE human colon adenocarcinoma tissue with PITPNB antibody. HIER: boil tissue sections in pH8 EDTA for 20 min and allow to cool before testing.
IHC staining of FFPE human testicular seminoma tissue with PITPNB antibody. HIER: boil tissue sections in pH8 EDTA for 20 min and allow to cool before testing.
IHC staining of FFPE mouse brain tissue with PITPNB antibody. HIER: boil tissue sections in pH8 EDTA for 20 min and allow to cool before testing.
IHC staining of FFPE rat brain tissue with PITPNB antibody. HIER: boil tissue sections in pH8 EDTA for 20 min and allow to cool before testing.
Western blot testing of 1) human Jurkat, 2) human HeLa, 3) human K562, 4) human Raji, 5) rat brain, 6) rat lung, 7) mouse brain and 8) mouse lung tissue lysate with PITPNB antibody. Predicted molecular weight ~32 kDa.
Flow cytometry testing of human HeLa cells with PITPNB antibody at 1ug/million cells (blocked with goat sera); Red=cells alone, Green=isotype control, Blue= PITPNB antibody.
Flow cytometry testing of human HeLa cells with PITPNB antibody at 1ug/million cells (blocked with goat sera); Red=cells alone, Green=isotype control, Blue= PITPNB antibody.
Availability 1-3 business days
Species Reactivity Human, Mouse, Rat
Format Antigen affinity purified
Clonality Polyclonal (rabbit origin)
Isotype Rabbit IgG
Purity Antigen affinity purified
Buffer Lyophilized from 1X PBS with 2% Trehalose
UniProt P48739
Localization Cytoplasmic
Applications Western Blot : 0.5-1ug/ml
Immunohistochemistry (FFPE) : 2-5ug/ml
Flow Cytometry : 1-3ug/million cells
Immunofluorescence : 5ug/ml
Direct ELISA : 0.1-0.5ug/ml
Limitations This PITPNB antibody is available for research use only.
Review this product on BioCompare and get a $20 Amazon gift card

Related Products

  • Applications : WB, ELISA (peptide)
    Reactivity : Human
    Pred. Reactivity : Cow, Dog, Mouse, Rat

Description

Phosphatidylinositol transfer protein beta isoform is a protein that in humans is encoded by the PITPNB gene. This gene encodes a cytoplasmic protein that catalyzes the transfer of phosphatidylinositol and phosphatidylcholine between membranes. This transfer activity is required for COPI complex-mediated retrograde transport from the Golgi apparatus to the endoplasmic reticulum. Alternative splicing of this gene results in multiple transcript variants.

Application Notes

Optimal dilution of the PITPNB antibody should be determined by the researcher.

Immunogen

E. coli-derived recombinant human protein (amino acids Q148-R170) was used as the immunogen for the PITPNB antibody.

Storage

After reconstitution, the PITPNB antibody can be stored for up to one month at 4oC. For long-term, aliquot and store at -20oC. Avoid repeated freezing and thawing.

Cross
Bulk Quote Request Form
Name*:
Organization*:
Email*:
Phone Number*:
Catalog No.*:
Comments and Specifics(amount, formulation, etc.)*:
Validation code: Captchapackage Image


Can't read the image? click here to refresh.
    *required field

Your bulk quote request has been submitted successfully!

Please contact us if you have any questions.