• Tel: 858.663.9055
  • SeparatorEmail: info@nsjbio.com
  • Tel: 858.663.9055
  • Email: info@nsjbio.com
Home >> Antibodies >> PIPOX Antibody / Peroxisomal sarcosine oxidase

PIPOX Antibody / Peroxisomal sarcosine oxidase (FY13039)

  Catalog No Formulation Size Price (USD)  
Image FY13039 Adding 0.2 ml of distilled water will yield a concentration of 500 ug/ml 100 ug 439
Bulk quote request
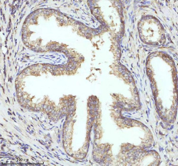
Immunohistochemical staining of PIPOX using anti-PIPOX antibody. PIPOX was detected in a paraffin-embedded section of human prostate cancer tissue. Heat mediated antigen retrieval was performed in EDTA buffer (pH 8.0, epitope retrieval solution). The tissue section was blocked with 10% goat serum. The tissue section was then incubated with 2 ug/ml rabbit anti-PIPOX antibody overnight at 4oC. Peroxidase Conjugated Goat Anti-rabbit IgG was used as secondary antibody and incubated for 30 minutes at 37oC. The tissue section was developed using an HRP secondary and DAB substrate.
Western blot analysis of PIPOX using anti-PIPOX antibody. Lane 1: human HepG2 whole cell lysates, Lane 2: rat liver tissue lysates, Lane 3: mouse liver tissue lysates, Lane 4: mouse kidney tissue lysates. After electrophoresis, proteins were transferred to a nitrocellulose membrane at 150 mA for 50-90 minutes. Blocked the membrane with 5% non-fat milk/TBS for 1.5 hour at RT. The membrane was incubated with rabbit anti-PIPOX antibody at 0.5 ug/ml overnight at 4oC, then washed with TBS-0.1%Tween 3 times with 5 minutes each and probed with a goat anti-rabbit IgG-HRP secondary antibody at a dilution of 1:5000 for 1.5 hour at RT. The signal was developed using enhanced chemiluminescent. A major band is detected at ~40 kDa, slightly below the predicted 44 kDa, consistent with the mature peroxisomal form following N-terminal signal-peptide cleavage. In mouse and rat liver and kidney, an additional ~30 kDa band is present, likely corresponding to a tissue-specific truncated or proteolytically processed form of PIPOX described in rodent peroxisomal enzyme studies.
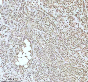
Immunohistochemical staining of PIPOX using anti-PIPOX antibody. PIPOX was detected in a paraffin-embedded section of human ovary cancer tissue. Heat mediated antigen retrieval was performed in EDTA buffer (pH 8.0, epitope retrieval solution). The tissue section was blocked with 10% goat serum. The tissue section was then incubated with 2 ug/ml rabbit anti-PIPOX antibody overnight at 4oC. Peroxidase Conjugated Goat Anti-rabbit IgG was used as secondary antibody and incubated for 30 minutes at 37oC. The tissue section was developed using an HRP secondary and DAB substrate.
Immunohistochemical staining of PIPOX using anti-PIPOX antibody. PIPOX was detected in a paraffin-embedded section of human prostate cancer tissue. Heat mediated antigen retrieval was performed in EDTA buffer (pH 8.0, epitope retrieval solution). The tissue section was blocked with 10% goat serum. The tissue section was then incubated with 2 ug/ml rabbit anti-PIPOX antibody overnight at 4oC. Peroxidase Conjugated Goat Anti-rabbit IgG was used as secondary antibody and incubated for 30 minutes at 37oC. The tissue section was developed using an HRP secondary and DAB substrate.
Immunohistochemical staining of PIPOX using anti-PIPOX antibody. PIPOX was detected in a paraffin-embedded section of human ovary cancer tissue. Heat mediated antigen retrieval was performed in EDTA buffer (pH 8.0, epitope retrieval solution). The tissue section was blocked with 10% goat serum. The tissue section was then incubated with 2 ug/ml rabbit anti-PIPOX antibody overnight at 4oC. Peroxidase Conjugated Goat Anti-rabbit IgG was used as secondary antibody and incubated for 30 minutes at 37oC. The tissue section was developed using an HRP secondary and DAB substrate.
Availability 1-2 days
Species Reactivity Human, Mouse, Rat
Format Lyophilized
Clonality Polyclonal (rabbit origin)
Isotype Rabbit IgG
Purity Immunogen affinity purified
Buffer Each vial contains 4 mg Trehalose, 0.9 mg NaCl, 0.2 mg Na2HPO4.
UniProt Q9P0Z9
Localization Cytoplasm (Peroxisome)
Applications Western Blot : 0.25-0.5ug/ml
Immunohistochemistry : 2-5ug/ml
ELISA : 0.1-0.5ug/ml
Limitations This PIPOX antibody is available for research use only.
Review this product on BioCompare and get a $20 Amazon gift card

Description

PIPOX antibody detects Peroxisomal sarcosine oxidase, a flavin-dependent enzyme involved in the oxidative demethylation of sarcosine and pipecolate in peroxisomes. The UniProt recommended name is Peroxisomal sarcosine oxidase (PIPOX). This enzyme participates in amino acid catabolism and contributes to cellular redox homeostasis through hydrogen peroxide production during substrate oxidation.

Functionally, PIPOX antibody identifies a 438-amino-acid peroxisomal matrix enzyme that catalyzes the conversion of sarcosine to glycine, formaldehyde, and hydrogen peroxide. PIPOX contains a covalently bound FAD cofactor that mediates electron transfer to molecular oxygen during oxidative demethylation. It also oxidizes L-pipecolate, a lysine degradation intermediate, linking it to amino acid metabolism and detoxification of secondary amines.

The PIPOX gene is located on chromosome 17p13.3 and encodes a protein expressed in liver, kidney, and muscle tissues, where peroxisomal metabolism is active. PIPOX contributes to maintaining amino acid balance and redox stability by coupling substrate oxidation with reactive oxygen species generation. In peroxisomes, PIPOX works alongside catalase to neutralize hydrogen peroxide, preventing oxidative stress accumulation.

Physiologically, PIPOX supports one-carbon metabolism by producing glycine, a precursor for glutathione synthesis and methylation reactions. Its regulation is influenced by dietary amino acid intake, metabolic state, and oxidative stress levels. Reduced PIPOX activity disrupts amino acid degradation and increases susceptibility to oxidative injury. Elevated activity has been observed in metabolic adaptations to fasting and in response to peroxisome proliferator-activated receptor (PPAR) signaling.

PIPOX antibody is widely used in peroxisomal biology, amino acid metabolism, and redox regulation research. It is suitable for western blotting, immunohistochemistry, and enzyme localization assays to study PIPOX expression and function. This antibody supports studies of peroxisomal oxidative pathways, redox signaling, and metabolic adaptation. In biomedical research, PIPOX serves as a marker of peroxisomal enzymatic activity and amino acid turnover.

Structurally, PIPOX contains FAD-binding and substrate-binding domains typical of the flavin oxidase family. It localizes to peroxisomes via a C-terminal peroxisomal targeting signal (PTS1). NSJ Bioreagents provides PIPOX antibody reagents validated for use in amino acid metabolism, oxidative stress, and peroxisomal function research.

Application Notes

Optimal dilution of the PIPOX antibody should be determined by the researcher.

Immunogen

E.coli-derived human PIPOX recombinant protein (Position: E173-L390) was used as the immunogen for the PIPOX antibody.

Storage

After reconstitution, the PIPOX antibody can be stored for up to one month at 4oC. For long-term, aliquot and store at -20oC. Avoid repeated freezing and thawing.

Cross
Bulk Quote Request Form
Name*:
Organization*:
Email*:
Phone Number*:
Catalog No.*:
Comments and Specifics(amount, formulation, etc.)*:
Validation code: Captchapackage Image


Can't read the image? click here to refresh.
    *required field

Your bulk quote request has been submitted successfully!

Please contact us if you have any questions.