• Tel: 858.663.9055
  • SeparatorEmail: info@nsjbio.com
  • Tel: 858.663.9055
  • Email: info@nsjbio.com
Home >> Antibodies >> PIP5K1A Antibody / Phosphatidylinositol-4-phosphate 5-kinase type-1 alpha

PIP5K1A Antibody / Phosphatidylinositol-4-phosphate 5-kinase type-1 alpha (FY13024)

  Catalog No Formulation Size Price (USD)  
Image FY13024 Adding 0.2 ml of distilled water will yield a concentration of 500 ug/ml 100 ug 439
Bulk quote request
Immunofluorescent staining of PIP5K1A using anti-PIP5K1A antibody (green) and anti-Beta Tubulin antibody (red). PIP5K1A was detected in an immunocytochemical section of Hela cells. Enzyme antigen retrieval was performed using IHC enzyme antigen retrieval reagent for 15 mins. The cells were blocked with 10% goat serum. And then incubated with 5 ug/ml rabbit anti-PIP5K1A antibody and mouse anti-Beta Tubulin antibody overnight at 4oC. DyLight 488 Conjugated Goat Anti-Rabbit IgG and Cy3 Conjugated Goat Anti-Mouse IgG were used as secondary antibody at 1:500 dilution and incubated for 30 minutes at 37oC. Visualize using a fluorescence microscope and filter sets appropriate for the label used.
Western blot analysis of PIP5K1A using anti-PIP5K1A antibody. Electrophoresis was performed on a 10% SDS-PAGE gel at 80V (Stacking gel) / 120V (Resolving gel) for 2 hours. Lane 1: human HepG2 whole cell lysates, Lane 2: human Hela whole cell lysates. After electrophoresis, proteins were transferred to a nitrocellulose membrane at 150 mA for 50-90 minutes. Blocked the membrane with 5% non-fat milk/TBS for 1.5 hour at RT. The membrane was incubated with rabbit anti-PIP5K1A antibody at 0.5 ug/ml overnight at 4oC, then washed with TBS-0.1%Tween 3 times with 5 minutes each and probed with a goat anti-rabbit IgG-HRP secondary antibody at a dilution of 1:5000 for 1.5 hour at RT. The signal was developed using an ECL Plus Western Blotting Substrate. A single, strong band is observed just below the 70 kDa marker, slightly above the predicted molecular weight of ~63 kDa for PIP5K1A (phosphatidylinositol-4-phosphate 5-kinase type I alpha). The higher apparent migration is consistent with previous studies reporting that PIP5K1A commonly runs at ~68-70 kDa on SDS-PAGE due to its acidic composition and post-translational regulation. In parallel immunoprecipitation experiments, this antibody detects a 75-80 kDa doublet, which likely corresponds to post-translationally modified forms of PIP5K1A. Specifically, phosphorylation of type I PIP5K1A has been shown to produce a mobility shift to higher molecular weight species, while SUMOylation at Lys-244 adds ~11 kDa per modification and can generate discrete slower-migrating bands.
Immunohistochemical staining of PIP5K1A using anti-PIP5K1A antibody. PIP5K1A was detected in a paraffin-embedded section of rat brain tissue. Heat mediated antigen retrieval was performed in EDTA buffer (pH 8.0, epitope retrieval solution). The tissue section was blocked with 10% goat serum. The tissue section was then incubated with 2 ug/ml rabbit anti-PIP5K1A antibody overnight at 4oC. Peroxidase Conjugated Goat Anti-rabbit IgG was used as secondary antibody and incubated for 30 minutes at 37oC. The tissue section was developed using an HRP secondary and DAB substrate.
Immunohistochemical staining of PIP5K1A using anti-PIP5K1A antibody. PIP5K1A was detected in a paraffin-embedded section of mouse brain tissue. Heat mediated antigen retrieval was performed in EDTA buffer (pH 8.0, epitope retrieval solution). The tissue section was blocked with 10% goat serum. The tissue section was then incubated with 2 ug/ml rabbit anti-PIP5K1A antibody overnight at 4oC. Peroxidase Conjugated Goat Anti-rabbit IgG was used as secondary antibody and incubated for 30 minutes at 37oC. The tissue section was developed using an HRP secondary and DAB substrate.
Immunoprecipitating PIP5K1A in 293T whole cell lysate. Western blot analysis of PIP5K1A using anti-PIP5K1A antibody. Lane 1: 293T whole cell lysates (30ug), Lane 2: Rabbit control IgG instead of anti-PIP5K1A antibody in 293T whole cell lysate, Lane 3: anti-PIP5K1A antibody (2ug) + 293T whole cell lysate (500ug). After electrophoresis, proteins were transferred to a membrane. Then the membrane was incubated with rabbit anti-PIP5K1A antibody at a dilution of 0.5 ug/ml and probed with a goat anti-rabbit IgG-HRP secondary antibody. The signal is developed using ECL Plus Western Blotting Substrate. Immunoprecipitation–Western blot of PIP5K1A. Although PIP5K1A is ~62-63 kDa (apparent ~66-70 kDa on SDS-PAGE), IP-WB reveals a 75-80 kDa doublet. Published work shows that phosphorylation of type I PIP5K1A causes a mobility shift, and SUMOylation (e.g., at Lys-244) produces slower-migrating species, consistent with the doublet observed here.
Flow Cytometry analysis of HeLa cells using anti-PIP5K1A antibody. Overlay histogram showing HeLa cells stained with (Blue line). To facilitate intracellular staining, cells were fixed with 4% paraformaldehyde and permeabilized with permeabilization buffer. The cells were blocked with 10% normal goat serum. And then incubated with rabbit anti-PIP5K1A antibody (1 ug/million cells) for 30 min at 20oC. DyLight 488 conjugated goat anti-rabbit IgG (5-10 ug/million cells) was used as secondary antibody for 30 minutes at 20oC. Isotype control antibody (Green line) was rabbit IgG (1 ug/million cells) used under the same conditions. Unlabelled sample without incubation with primary antibody and secondary antibody (Red line) was used as a blank control.
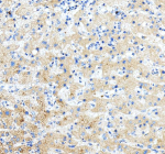
Immunohistochemical staining of PIP5K1A using anti-PIP5K1A antibody. PIP5K1A was detected in a paraffin-embedded section of human liver cancer tissue. Heat mediated antigen retrieval was performed in EDTA buffer (pH 8.0, epitope retrieval solution). The tissue section was blocked with 10% goat serum. The tissue section was then incubated with 2 ug/ml rabbit anti-PIP5K1A antibody overnight at 4oC. Peroxidase Conjugated Goat Anti-rabbit IgG was used as secondary antibody and incubated for 30 minutes at 37oC. The tissue section was developed using an HRP secondary and DAB substrate.
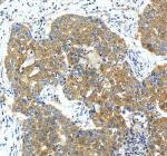
Immunohistochemical staining of PIP5K1A using anti-PIP5K1A antibody. PIP5K1A was detected in a paraffin-embedded section of human liver tissue. Heat mediated antigen retrieval was performed in EDTA buffer (pH 8.0, epitope retrieval solution). The tissue section was blocked with 10% goat serum. The tissue section was then incubated with 2 ug/ml rabbit anti-PIP5K1A antibody overnight at 4oC. Peroxidase Conjugated Goat Anti-rabbit IgG was used as secondary antibody and incubated for 30 minutes at 37oC. The tissue section was developed using an HRP secondary and DAB substrate.
Availability 1-2 days
Species Reactivity Human, Mouse, Rat
Format Lyophilized
Clonality Polyclonal (rabbit origin)
Isotype Rabbit IgG
Purity Immunogen affinity purified
Buffer Each vial contains 4 mg Trehalose, 0.9 mg NaCl, 0.2 mg Na2HPO4.
UniProt Q99755
Localization Nuclear, cytoplasmic, cell membrane
Applications Western Blot : 0.25-0.5ug/ml
Immunohistochemistry : 2-5ug/ml
Immunocytochemistry/Immunofluorescence : 5ug/ml
Immunoprecipitation : 2-4ug/500ug of lysate
Flow Cytometry : 1-3ug/million cells
ELISA : 0.1-0.5ug/ml
Limitations This PIP5K1A antibody is available for research use only.
Review this product on BioCompare and get a $20 Amazon gift card

Description

PIP5K1A antibody detects Phosphatidylinositol-4-phosphate 5-kinase type-1 alpha, a lipid kinase responsible for generating phosphatidylinositol 4,5-bisphosphate (PI(4,5)P2), a key regulator of membrane trafficking and signal transduction. The UniProt recommended name is Phosphatidylinositol-4-phosphate 5-kinase type-1 alpha (PIP5K1A). This enzyme is part of the phosphoinositide kinase family, which coordinates membrane dynamics and cytoskeletal organization.

Functionally, PIP5K1A antibody identifies a 562-amino-acid enzyme that catalyzes the phosphorylation of phosphatidylinositol 4-phosphate at the D5 position, generating PI(4,5)P2 at the plasma membrane. This phospholipid acts as a precursor for multiple signaling molecules, including IP3, DAG, and PI(3,4,5)P3, and serves as a membrane docking site for proteins involved in vesicle trafficking, actin remodeling, and receptor signaling. PIP5K1A regulates endocytosis, exocytosis, and focal adhesion turnover through spatial control of PI(4,5)P2 production.

The PIP5K1A gene is located on chromosome 1q21.3 and encodes a ubiquitously expressed enzyme enriched in the plasma membrane and perinuclear regions. PIP5K1A functions together with its isoforms PIP5K1B and PIP5K1C to maintain distinct pools of PI(4,5)P2 for different cellular processes. It interacts with small GTPases such as ARF6 and Rac1 to coordinate signaling at the membrane-cytoskeleton interface. Dysregulation of PIP5K1A disrupts cell polarity, vesicle trafficking, and growth factor signaling, contributing to diseases such as cancer and neurodegeneration.

In cell signaling, PIP5K1A modulates receptor-mediated activation of PI3K and PLC pathways, influencing calcium flux, membrane potential, and cytoskeletal remodeling. Its role in actin polymerization makes it essential for cell migration and adhesion dynamics. PIP5K1A activity is also linked to insulin signaling, where it regulates GLUT4 vesicle trafficking and glucose uptake in adipocytes and muscle cells.

PIP5K1A antibody is widely used in cell signaling, membrane biology, and lipid metabolism research. It is suitable for immunoblotting, immunofluorescence, and lipid kinase assays to analyze PIP5K1A expression and localization. This antibody aids in studying phosphoinositide regulation, cytoskeletal remodeling, and endocytic trafficking. In disease research, it supports investigations into cancer metastasis, metabolic regulation, and neuronal plasticity.

Structurally, PIP5K1A contains an N-terminal kinase domain with ATP- and substrate-binding sites, regulatory motifs for localization, and autophosphorylation sites that control activity. NSJ Bioreagents provides PIP5K1A antibody reagents validated for use in phosphoinositide signaling, cytoskeletal regulation, and metabolic research.

Application Notes

Optimal dilution of the PIP5K1A antibody should be determined by the researcher.

Immunogen

E.coli-derived human PIP5K1A recombinant protein (Position: I33-H562) was used as the immunogen for the PIP5K1A antibody.

Storage

After reconstitution, the PIP5K1A antibody can be stored for up to one month at 4oC. For long-term, aliquot and store at -20oC. Avoid repeated freezing and thawing.

Cross
Bulk Quote Request Form
Name*:
Organization*:
Email*:
Phone Number*:
Catalog No.*:
Comments and Specifics(amount, formulation, etc.)*:
Validation code: Captchapackage Image


Can't read the image? click here to refresh.
    *required field

Your bulk quote request has been submitted successfully!

Please contact us if you have any questions.