• Tel: 858.663.9055
  • SeparatorEmail: info@nsjbio.com
  • Tel: 858.663.9055
  • Email: info@nsjbio.com
Home >> Antibodies >> PINK1 Antibody

PINK1 Antibody [clone 38CT20.8.5] (F53741)

  Catalog No Formulation Size Price (USD)  
Image F53741-0.1ML In ascites with 0.09% sodium azide 0.1 ml 429
Bulk quote request
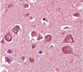
IHC analysis of FFPE human brain cortex tissue stained with PINK1 antibody
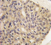
IHC analysis of FFPE human hepatocarcinoma tissue stained with PINK1 antibody
Western blot analysis of PINK1 antibody (1:500) and mouse brain tissue lysate. Predicted molecular weight: 60-70 kDa
Western blot analysis of PINK antibody and 293 cell lysate (2 ug/lane) either nontransfected (Lane 1) or transiently transfected with the PINK gene (2) (1:2000)
Availability 1-3 business days
Species Reactivity Human, Mouse
Format Ascites
Clonality Monoclonal (mouse origin)
Isotype Mouse IgG1
Clone Name 38CT20.8.5
Purity Ascites
UniProt Q9BXM7
Applications Western Blot : 1:500-1:2000
IHC (Paraffin) : 1:10-1:50
Limitations This PINK1 antibody is available for research use only.
Review this product on BioCompare and get a $20 Amazon gift card

Related Products

  • Applications : IHC, IF, WB, ELISA
    Reactivity : Human
  • Applications : WB, ELISA
    Reactivity : Human, Mouse
  • Applications : WB, ELISA
    Reactivity : Mouse
  • Applications : IHC, WB, ELISA
    Reactivity : Human, Mouse
  • Applications : WB, ELISA
    Reactivity : Human, Mouse
  • Applications : WB, ELISA (peptide)
    Reactivity : Rat
    Pred. Reactivity : Human
  • Applications : WB, IF, FACS, Direct ELISA
    Reactivity : Human

Description

PINK1 protects against mitochondrial dysfunction during cellular stress by phosphorylating mitochondrial proteins. Involved in the clearance of damaged mitochondria via selective autophagy (mitophagy) by mediating activation and translocation of PARK2. Targets PARK2 to dysfunctional depolarized mitochondria through the phosphorylation of MFN2. Activates PARK2 in 2 steps: (1) by mediating phosphorylation at 'Ser-65' of PARK2 and (2) mediating phosphorylation of ubiquitin, converting PARK2 to its fully-active form. [UniProt]

Application Notes

Titration of the PINK1 antibody may be required due to differences in protocols and secondary/substrate sensitivity.

Immunogen

Recombinant protein was used to produced this PINK1 antibody.

Storage

Aliquot the PINK1 antibody and store frozen at -20oC or colder. Avoid repeated freeze-thaw cycles.

Cross
Bulk Quote Request Form
Name*:
Organization*:
Email*:
Phone Number*:
Catalog No.*:
Comments and Specifics(amount, formulation, etc.)*:
Validation code: Captchapackage Image


Can't read the image? click here to refresh.
    *required field

Your bulk quote request has been submitted successfully!

Please contact us if you have any questions.