• Tel: 858.663.9055
  • SeparatorEmail: info@nsjbio.com
  • Tel: 858.663.9055
  • Email: info@nsjbio.com
Home >> Antibodies >> PILT Antibody / TJAP1

PILT Antibody / TJAP1 (RQ7550)

  Catalog No Formulation Size Price (USD)  
Image RQ7550 0.5mg/ml if reconstituted with 0.2ml sterile DI water 100 ug 439
Bulk quote request
Immunofluorescent staining of FFPE human A549 cells with PILT antibody (green) and DAPI nuclear stain (blue). HIER: steam section in pH6 citrate buffer for 20 min.
Western blot testing of human 1) HepG2, 2) A431 and 3) U-251 cell lysate with PILT antibody. Predicted molecular weight ~62 kDa, commonly observed at 62-85 kDa.
Flow cytometry testing of fixed and permeabilized human U-87 MG cells with PILT antibody at 1ug/million cells (blocked with goat sera); Red=cells alone, Green=isotype control, Blue= PILT antibody.
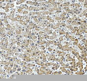
IHC staining of FFPE human liver tissue with PILT antibody, HRP-secondary and DAB substrate. HIER: boil tissue sections in pH8 EDTA for 20 min and allow to cool before testing.
Availability 1-3 business days
Species Reactivity Human
Format Antigen affinity purified
Clonality Polyclonal (rabbit origin)
Isotype Rabbit IgG
Purity Antigen affinity purified
Buffer Lyophilized from 1X PBS with 2% Trehalose
UniProt Q5JTD0
Localization Cytoplasm (Golgi)
Applications Western Blot : 0.5-1ug/ml
Immunofluorescence : 5ug/ml
Flow Cytometry : 1-3ug/million cells
Direct ELISA : 0.1-0.5ug/ml
Immunohistochemistry (FFPE) : 2-5ug/ml
Limitations This PILT antibody is available for research use only.
Review this product on BioCompare and get a $20 Amazon gift card

Description

PILT (Protein incorporated later into tight junctions), also called Tight junction-associated protein 1 and TJAP1, is a member of the membrane-associated guanylate kinase (MAGUK) family that contributes to the assembly and regulation of tight junctions. It is localized at epithelial and endothelial cell-cell junctions, where it helps maintain barrier integrity and supports polarity. A PILT antibody is frequently used to study cell adhesion, epithelial permeability, and intracellular signaling associated with tight junction complexes.

PILT contains characteristic protein interaction domains that enable binding with multiple partners, including claudins, ZO proteins, and signaling adaptors. These interactions allow PILT to bridge transmembrane receptors with cytosolic effectors, ensuring selective passage of molecules across epithelial barriers. Employing a PILT antibody provides researchers with a reliable tool for investigating barrier function, junction remodeling, and the molecular architecture of epithelial tissues.

Alterations in PILT expression have been implicated in disease processes such as cancer, inflammation, and developmental abnormalities, where epithelial barrier dysfunction is a contributing factor. Studies also suggest roles for PILT in receptor trafficking and other intracellular pathways, expanding its relevance beyond junctional maintenance. Using a PILT antibody enables exploration of its roles in both healthy tissue physiology and pathological conditions.

NSJ Bioreagents provides a high-quality PILT antibody validated for applications such as western blot, immunofluorescence, and immunohistochemistry. Selecting a PILT antibody from NSJ Bioreagents ensures consistent results and dependable detection in studies of tight junction biology, epithelial polarity, and disease research. Tight junction-associated protein 1, also called 'Protein incorporated later into tight junctions' (PILT), is a protein that in humans is encoded by the TJAP1 gene. This gene encodes a tight junction-associated protein. Incorporation of the encoded protein into tight junctions occurs at a late stage of formation of the junctions. The encoded protein localizes to the Golgi and may function in vesicle trafficking. Alternatively spliced transcript variants have been described. A related pseudogene exists on the X chromosome.

Application Notes

Optimal dilution of the PILT antibody should be determined by the researcher.

Immunogen

E. coli-derived recombinant human protein (amino acids K160-N557) was used as the immunogen for the PILT antibody.

Storage

After reconstitution, the PILT antibody can be stored for up to one month at 4oC. For long-term, aliquot and store at -20oC. Avoid repeated freezing and thawing.

Cross
Bulk Quote Request Form
Name*:
Organization*:
Email*:
Phone Number*:
Catalog No.*:
Comments and Specifics(amount, formulation, etc.)*:
Validation code: Captchapackage Image


Can't read the image? click here to refresh.
    *required field

Your bulk quote request has been submitted successfully!

Please contact us if you have any questions.