• Tel: 858.663.9055
  • SeparatorEmail: info@nsjbio.com
  • Tel: 858.663.9055
  • Email: info@nsjbio.com
Home >> Antibodies >> PIK3CD Antibody / PI 3 Kinase p110 delta

PIK3CD Antibody / PI 3 Kinase p110 delta [clone ADEO-16] (RQ4690)

  Catalog No Formulation Size Price (USD)  
Image RQ4690 Antibody in PBS with 0.02% sodium azide, 50% glycerol and 0.4-0.5mg/ml BSA 100 ul 439
Microvalidated Rab Mono Image
Bulk quote request
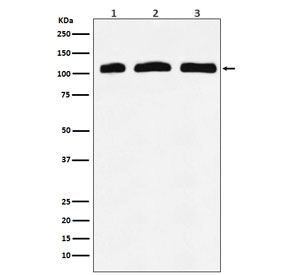
Western blot testing of 1) human K562, 2) mouse RAW264 and 3) rat kidney lysate with PIK3CD antibody. Expected molecular weight: 110-120 kDa.
Availability 1-2 weeks
Species Reactivity Human, Mouse, Rat
Format Purified
Clonality Rabbit Monoclonal
Isotype Rabbit IgG
Clone Name ADEO-16
Purity Affinity purified
UniProt O00329
Applications Western Blot : 1:500-1:2000
Limitations This PIK3CD antibody is available for research use only.
Review this product on BioCompare and get a $20 Amazon gift card

Related Products

Description

Plays a key role by recruiting PH domain-containing proteins to the membrane, including AKT1 and PDPK1, activating signaling cascades involved in cell growth, survival, proliferation, motility and morphology. Mediates immune responses. Plays a role in B-cell development, proliferation, migration, and function. Required for B-cell receptor (BCR) signaling.

Application Notes

Optimal dilution of the PIK3CD antibody should be determined by the researcher.

Immunogen

A synthetic peptide specific to human PI 3 Kinase p110 delta / PIK3CD was used as the immunogen for the PIK3CD antibody.

Storage

Store the PIK3CD antibody at -20oC.

Cross
Bulk Quote Request Form
Name*:
Organization*:
Email*:
Phone Number*:
Catalog No.*:
Comments and Specifics(amount, formulation, etc.)*:
Validation code: Captchapackage Image


Can't read the image? click here to refresh.
    *required field

Your bulk quote request has been submitted successfully!

Please contact us if you have any questions.