• Tel: 858.663.9055
  • SeparatorEmail: info@nsjbio.com
  • Tel: 858.663.9055
  • Email: info@nsjbio.com
Home >> Antibodies >> Pigment epithelium-derived factor Antibody / PEDF / SERPINF1

Pigment epithelium-derived factor Antibody / PEDF / SERPINF1 (F54918)

  Catalog No Formulation Size Price (USD)  
Image F54918-0.4ML In 1X PBS, pH 7.4, with 0.09% sodium azide 0.4 ml 429
Image
F54918-0.08ML In 1X PBS, pH 7.4, with 0.09% sodium azide 0.08 ml 199
Bulk quote request
Western blot testing of human blood plasma lysate with Pigment epithelium-derived factor antibody. Predicted molecular weight ~46 kDa.
Western blot testing of human HEK293 lysate with Pigment epithelium-derived factor antibody. Predicted molecular weight ~46 kDa.
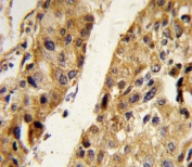
IHC testing of FFPE human hepatocellular carcinoma tissue with Pigment epithelium-derived factor antibody. HIER: steam section in pH6 citrate buffer for 20 min and allow to cool prior to staining.
Flow cytometry testing of human HEK293 cells with Pigment epithelium-derived factor antibody; Blue=isotype control, Green= Pigment epithelium-derived factor antibody.
Availability 1-3 business days
Species Reactivity Human
Format Purified
Clonality Polyclonal (rabbit origin)
Isotype Rabbit Ig
Purity Purified
UniProt P36955
Localization Cytoplasmic, secreted
Applications Western Blot : 1:500-1:1000
Flow Cytometry : 1:10-1:50 (1x10e6 cells)
Immunohistochemistry (FFPE) : 1:10-1:50
Limitations This Pigment epithelium-derived factor antibody is available for research use only.
Review this product on BioCompare and get a $20 Amazon gift card

Related Products

Description

SERPINF1 is a member of the serpin family. Serpins are a group of serine protease inhibitors, some of which have also been reported to exhibit neurotrophic activity.

Application Notes

The stated application concentrations are suggested starting points. Titration of the Pigment epithelium-derived factor antibody may be required due to differences in protocols and secondary/substrate sensitivity.

Immunogen

A portion of amino acids 9-36 from the human protein was used as the immunogen for the Pigment epithelium-derived factor antibody.

Storage

Aliquot the Pigment epithelium-derived factor antibody and store frozen at -20oC or colder. Avoid repeated freeze-thaw cycles.

Cross
Bulk Quote Request Form
Name*:
Organization*:
Email*:
Phone Number*:
Catalog No.*:
Comments and Specifics(amount, formulation, etc.)*:
Validation code: Captchapackage Image


Can't read the image? click here to refresh.
    *required field

Your bulk quote request has been submitted successfully!

Please contact us if you have any questions.