• Tel: 858.663.9055
  • SeparatorEmail: info@nsjbio.com
  • Tel: 858.663.9055
  • Email: info@nsjbio.com
Home >> Antibodies >> PICK1 Antibody / Protein interacting with C kinase 1

PICK1 Antibody / Protein interacting with C kinase 1 (FY13119)

  Catalog No Formulation Size Price (USD)  
Image FY13119 Adding 0.2 ml of distilled water will yield a concentration of 500 ug/ml 100 ug 439
Bulk quote request
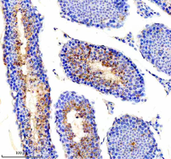
Immunohistochemical staining of PICK1 using anti-PICK1 antibody. PICK1 was detected in a paraffin-embedded section of mouse testis tissue. Heat mediated antigen retrieval was performed in EDTA buffer (pH 8.0, epitope retrieval solution). The tissue section was blocked with 10% goat serum. The tissue section was then incubated with 2 ug/ml rabbit anti-PICK1 antibody overnight at 4oC. Peroxidase Conjugated Goat Anti-rabbit IgG was used as secondary antibody and incubated for 30 minutes at 37oC. The tissue section was developed using an HRP secondary and DAB substrate.
Western blot analysis of PICK1 using anti-PICK1 antibody. Electrophoresis was performed on a 10% SDS-PAGE gel at 80V (Stacking gel) / 120V (Resolving gel) for 2 hours. Lane 1: rat brain tissue lysates, Lane 2: mouse brain tissue lysates. After electrophoresis, proteins were transferred to a nitrocellulose membrane at 150 mA for 50-90 minutes. Blocked the membrane with 5% non-fat milk/TBS for 1.5 hour at RT. The membrane was incubated with rabbit anti-PICK1 antibody at 0.5 ug/ml overnight at 4oC, then washed with TBS-0.1%Tween 3 times with 5 minutes each and probed with a goat anti-rabbit IgG-HRP secondary antibody at a dilution of 1:5000 for 1.5 hour at RT. The signal was developed using an ECL Plus Western Blotting Substrate. The expected molecular weight of PICK1 is ~47 kDa.
Immunohistochemical staining of PICK1 using anti-PICK1 antibody. PICK1 was detected in a paraffin-embedded section of rat brain tissue. Heat mediated antigen retrieval was performed in EDTA buffer (pH 8.0, epitope retrieval solution). The tissue section was blocked with 10% goat serum. The tissue section was then incubated with 2 ug/ml rabbit anti-PICK1 antibody overnight at 4oC. Peroxidase Conjugated Goat Anti-rabbit IgG was used as secondary antibody and incubated for 30 minutes at 37oC. The tissue section was developed using an HRP secondary and DAB substrate.
Availability 1-2 days
Species Reactivity Human, Mouse, Rat
Format Lyophilized
Clonality Polyclonal (rabbit origin)
Isotype Rabbit IgG
Purity Immunogen affinity purified
Buffer Each vial contains 4 mg Trehalose, 0.9 mg NaCl, 0.2 mg Na2HPO4.
UniProt Q9NRD5
Localization Cytoplasm
Applications Western Blot : 0.25-0.5ug/ml
Immunohistochemistry : 2-5ug/ml
ELISA : 0.1-0.5ug/ml
Limitations This PICK1 antibody is available for research use only.
Review this product on BioCompare and get a $20 Amazon gift card

Related Products

  • Applications : WB, ELISA (peptide)
    Reactivity : Human, Mouse, Rat
    Pred. Reactivity : Cow, Dog, Pig

Description

PICK1 antibody detects Protein interacting with C kinase 1, a scaffolding protein involved in receptor trafficking, synaptic plasticity, and signal transduction. The UniProt recommended name is Protein interacting with C kinase 1 (PICK1). This adaptor protein binds to protein kinase C (PKC) and various membrane receptors to regulate endocytosis and intracellular transport.

Functionally, PICK1 antibody identifies a 415-amino-acid cytoplasmic protein containing a PDZ domain and a BAR domain. The PDZ domain mediates interactions with the C-termini of target proteins such as AMPA-type glutamate receptors, while the BAR domain facilitates membrane curvature sensing and vesicle formation. PICK1 coordinates PKC-dependent receptor internalization and recycling at synapses.

The PICK1 gene is located on chromosome 22q13.1 and is widely expressed in brain, testis, and endocrine tissues. In neurons, PICK1 regulates trafficking of AMPA and metabotropic glutamate receptors, influencing long-term synaptic plasticity. It also interacts with ion channels, transporters, and polarity proteins to maintain signal compartmentalization.

Pathologically, dysregulation of PICK1 contributes to neurological and psychiatric disorders including epilepsy, schizophrenia, and drug addiction. Altered PICK1 expression affects synaptic strength and receptor turnover, disrupting excitatory signaling balance. Research using PICK1 antibody supports studies in synaptic transmission, membrane trafficking, and PKC signaling.

PICK1 antibody is validated for western blotting, immunohistochemistry, and immunofluorescence to detect BAR domain scaffold proteins and synaptic trafficking regulators. NSJ Bioreagents offers PICK1 antibody reagents optimized for neuroscience, receptor biology, and signal transduction research.

Structurally, Protein interacting with C kinase 1 features a PDZ domain that binds short peptide motifs on target proteins and a BAR domain that dimerizes to shape membranes. This antibody enables analysis of PICK1's regulatory function in receptor dynamics and neural signaling.

Application Notes

Optimal dilution of the PICK1 antibody should be determined by the researcher.

Immunogen

E.coli-derived human PICK1 recombinant protein (Position: A41-E376) was used as the immunogen for the PICK1 antibody.

Storage

After reconstitution, the PICK1 antibody can be stored for up to one month at 4oC. For long-term, aliquot and store at -20oC. Avoid repeated freezing and thawing.

Cross
Bulk Quote Request Form
Name*:
Organization*:
Email*:
Phone Number*:
Catalog No.*:
Comments and Specifics(amount, formulation, etc.)*:
Validation code: Captchapackage Image


Can't read the image? click here to refresh.
    *required field

Your bulk quote request has been submitted successfully!

Please contact us if you have any questions.