• Tel: 858.663.9055
  • SeparatorEmail: info@nsjbio.com
  • Tel: 858.663.9055
  • Email: info@nsjbio.com
Home >> Antibodies >> PIAS2 Antibody

PIAS2 Antibody (R34391)

  Catalog No Formulation Size Price (USD)  
Image R34391-100UG 0.5 mg/ml in 1X TBS, pH7.3, with 0.5% BSA (US sourced) and 0.02% sodium azide 100 ug 449
Bulk quote request
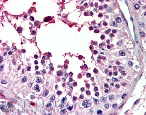
IHC testing of FFPE human testis with PIAS2 antibody at 4ug/ml. HIER: steamed with pH6 citrate buffer, AP-staining.
Availability 1-3 business days
Species Reactivity Human
Predicted Reactivity Dog, Mouse, Rat
Format Antigen affinity purified
Clonality Polyclonal (goat origin)
Isotype Goat Ig
Purity Antigen affinity
Gene ID 9063
Applications Immunohistochemistry (FFPE) : 3-5ug/ml
ELISA (peptide) LOD : 1:8000
Limitations This PIAS2 antibody is available for research use only.
Review this product on BioCompare and get a $20 Amazon gift card

Related Products

  • Applications : WB, ELISA (peptide)
    Reactivity : Human
    Pred. Reactivity : Cow, Dog, Mouse, Rat
  • Applications : WB, FACS, Direct ELISA
    Reactivity : Human, Mouse, Rat

Description

Additional name(s) for this target protein: Protein inhibitor of activated STAT, 2

Application Notes

Optimal dilution of the PIAS2 antibody should be determined by the researcher.

Immunogen

Amino acids KEAMKVSSQPCTKIE were used as the immunogen for this PIAS2 antibody.

Storage

Aliquot and store the PIAS2 antibody at -20oC.

Cross
Bulk Quote Request Form
Name*:
Organization*:
Email*:
Phone Number*:
Catalog No.*:
Comments and Specifics(amount, formulation, etc.)*:
Validation code: Captchapackage Image


Can't read the image? click here to refresh.
    *required field

Your bulk quote request has been submitted successfully!

Please contact us if you have any questions.