• Tel: 858.663.9055
  • SeparatorEmail: info@nsjbio.com
  • Tel: 858.663.9055
  • Email: info@nsjbio.com
Home >> Antibodies >> PIAS1 Antibody

PIAS1 Antibody (R31376)

  Catalog No Formulation Size Price (USD)  
Image R31376 0.5mg/ml if reconstituted with 0.2ml sterile DI water 100 ug 439
Bulk quote request
Western blot testing of PIAS1 antibody and Lane 1: rat testis; 2: mouse testis; 3: human HeLa; 4: (h) Jurkat; 5: (h) MCF-7; 6: (h) SKOV lysate; Expected size: 72~100KD
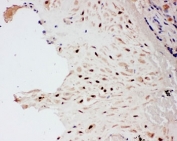
IHC-P: PIAS1 antibody testing of human placenta tissue
ICC testing of PIAS1 antibody and A549 cells
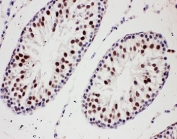
IHC-P: PIAS1 antibody testing of rat testis tissue
IHC-P: PIAS1 antibody testing of rat brain tissue
Availability 1-3 business days
Species Reactivity Human, Mouse, Rat
Format Antigen affinity purified
Clonality Polyclonal (rabbit origin)
Isotype Rabbit IgG
Purity Antigen affinity
Buffer Lyophilized from 1X PBS with 2.5% BSA and 0.025% sodium azide/thimerosal
UniProt O75925
Applications Western Blot : 0.5-1ug/ml
IHC (FFPE) : 0.5-1ug/ml
Immunocytochemistry : 0.5-1ug/ml
Limitations This PIAS1 antibody is available for research use only.
Review this product on BioCompare and get a $20 Amazon gift card

Related Products

  • Applications : WB, IF, FACS, Direct ELISA
    Reactivity : Human

Description

E3 SUMO-protein ligase PIAS1 is an enzyme that in humans is encoded by the PIAS1 gene. This gene encodes a member of the mammalian PIAS [protein inhibitor of activated STAT-1(signal transducer and activator of transcription-1)] family. It contains a putative zinc-binding motif and a highly acidic region. PIAS1 inhibited STAT1-mediated gene activation in response to interferon when expressed in mammalian cells. It functions in testis as a nuclear receptor transcriptional coregulator and may have a role in AR initiation and maintenance of spermatogenesis. PIAS1 can also function as a SUMO ligase, or possibly as a tightly bound regulator of it, toward p53.

Application Notes

The stated application concentrations are suggested starting amounts. Titration of the PIAS1 antibody may be required due to differences in protocols and secondary/substrate sensitivity.

Immunogen

Amino acids 636-651 (DTASIFGIIPDIISLD-human) were used as the immunogen for this PIAS1 antibody (100% homologous in human, mouse and rat).

Storage

After reconstitution, the PIAS1 antibody can be stored for up to one month at 4oC. For long-term, aliquot and store at -20oC. Avoid repeated freezing and thawing.

Cross
Bulk Quote Request Form
Name*:
Organization*:
Email*:
Phone Number*:
Catalog No.*:
Comments and Specifics(amount, formulation, etc.)*:
Validation code: Captchapackage Image


Can't read the image? click here to refresh.
    *required field

Your bulk quote request has been submitted successfully!

Please contact us if you have any questions.