• Tel: 858.663.9055
  • SeparatorEmail: info@nsjbio.com
  • Tel: 858.663.9055
  • Email: info@nsjbio.com
Home >> Antibodies >> PI3K p110 Antibody (beta) / PIK3CB

PI3K p110 Antibody (beta) / PIK3CB (R32723)

  Catalog No Formulation Size Price (USD)  
Image R32723 0.5mg/ml if reconstituted with 0.2ml sterile DI water 100 ug 439
Bulk quote request
Western blot testing of 1) rat liver, 2) rat kidney, 3) mouse spleen, 4) mouse thymus, 5) human MCF7 and 6) human K562 lysate with PI3K p110 antibody at 0.5ug/ml. Expected molecular weight ~110 kDa.
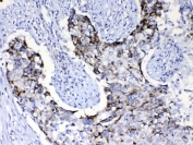
IHC testing of FFPE human intestinal cancer tissue with PI3K p110 antibody at 1ug/ml. Required HIER: steam section in pH6 citrate buffer for 20 min and allow to cool prior to testing.
IHC testing of FFPE human lung cancer tissue with PI3K p110 antibody at 1ug/ml. Required HIER: steam section in pH6 citrate buffer for 20 min and allow to cool prior to testing.
Availability 1-3 business days
Species Reactivity Human, Mouse, Rat
Format Antigen affinity purified
Clonality Polyclonal (rabbit origin)
Isotype Rabbit IgG
Purity Antigen affinity
Buffer Lyophilized from 1X PBS with 2.5% BSA, 0.025% sodium azide
UniProt P42338
Localization Cytoplasmic, nuclear
Applications Western Blot : 0.5-1ug/ml
IHC (FFPE) : 1-2ug/ml
Limitations This PI3K p110 antibody is available for research use only.
Review this product on BioCompare and get a $20 Amazon gift card

Related Products

Description

Phosphatidylinositol-4,5-bisphosphate 3-kinase catalytic subunit beta isoform is an enzyme that in humans is encoded by the PIK3CB gene. This gene encodes an isoform of the catalytic subunit of phosphoinositide 3-kinase (PI3K). These kinases are important in signaling pathways involving receptors on the outer membrane of eukaryotic cells and are named for their catalytic subunit. The encoded protein is the catalytic subunit for PI3Kbeta (PI3KB). PI3KB has been shown to be part of the activation pathway in neutrophils which have bound immune complexes at sites of injury or infection. Alternative splicing results in multiple transcript variants.

Application Notes

Optimal dilution of the PI3K p110 antibody should be determined by the researcher.

Immunogen

Amino acids 556-598 (DLIWTLRQDCREIFPQSLPKLLLSIKWNKLEDVAQLQALLQIW) from the human protein were used as the immunogen for the PI3K p110 antibody.

Storage

After reconstitution, the PI3K p110 antibody can be stored for up to one month at 4oC. For long-term, aliquot and store at -20oC. Avoid repeated freezing and thawing.

Cross
Bulk Quote Request Form
Name*:
Organization*:
Email*:
Phone Number*:
Catalog No.*:
Comments and Specifics(amount, formulation, etc.)*:
Validation code: Captchapackage Image


Can't read the image? click here to refresh.
    *required field

Your bulk quote request has been submitted successfully!

Please contact us if you have any questions.