• Tel: 858.663.9055
  • SeparatorEmail: info@nsjbio.com
  • Tel: 858.663.9055
  • Email: info@nsjbio.com
Home >> Antibodies >> PI15 Antibody / Peptidase inhibitor 15

PI15 Antibody / Peptidase inhibitor 15 (F54668)

  Catalog No Formulation Size Price (USD)  
Image F54668-0.4ML In 1X PBS, pH 7.4, with 0.09% sodium azide 0.4 ml 429
Image
F54668-0.08ML In 1X PBS, pH 7.4, with 0.09% sodium azide 0.08 ml 199
Bulk quote request
Western blot testing of human 1) HeLa and 2) PC-3 cell lysate with PI15 antibody. Predicted molecular weight ~29 kDa.
Western blot testing of human K562 cell lysate with PI15 antibody. Predicted molecular weight ~29 kDa.
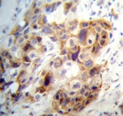
IHC testing of FFPE human breast carcinoma tissue with PI15 antibody. HIER: steam section in pH6 citrate buffer for 20 min and allow to cool prior to staining.
Flow cytometry testing of human K562 cells with PI15 antibody; Left=isotype control, Right= PI15 antibody.
Availability 1-3 business days
Species Reactivity Human
Format Purified
Clonality Polyclonal (rabbit origin)
Isotype Rabbit Ig
Purity Antigen affinity purified
UniProt O43692
Applications Flow Cytometry : 1:25 (1x10e6 cells)
Immunohistochemistry (FFPE) : 1:25
Western Blot : 1:500-1:2000
Limitations This PI15 antibody is available for research use only.
Review this product on BioCompare and get a $20 Amazon gift card

Related Products

Description

This gene encodes a trypsin inhibitor. The protein shares similarity to insect venom allergens, mammalian testis-specific proteins and plant pathogenesis-related proteins. It is frequently expressed in human neuroblastoma and glioblastoma cell lines, and thus may play a role in the central nervous system. [RefSeq].

Application Notes

The stated application concentrations are suggested starting points. Titration of the PI15 antibody may be required due to differences in protocols and secondary/substrate sensitivity.

Immunogen

A portion of amino acids 34-63 from the human protein was used as the immunogen for the PI15 antibody.

Storage

Aliquot the PI15 antibody and store frozen at -20oC or colder. Avoid repeated freeze-thaw cycles.

Cross
Bulk Quote Request Form
Name*:
Organization*:
Email*:
Phone Number*:
Catalog No.*:
Comments and Specifics(amount, formulation, etc.)*:
Validation code: Captchapackage Image


Can't read the image? click here to refresh.
    *required field

Your bulk quote request has been submitted successfully!

Please contact us if you have any questions.