• Tel: 858.663.9055
  • SeparatorEmail: info@nsjbio.com
  • Tel: 858.663.9055
  • Email: info@nsjbio.com
Home >> Antibodies >> Phosphotyrosine Antibody

Phosphotyrosine Antibody [clone PY20] (V2359)

  Catalog No Formulation Size Price (USD)  
Image V2359-100UG 0.2 mg/ml in 1X PBS with 0.1 mg/ml BSA (US sourced) and 0.05% sodium azide 100 ug 539
Image
V2359-20UG 0.2 mg/ml in 1X PBS with 0.1 mg/ml BSA (US sourced) and 0.05% sodium azide 20 ug 249
Image
V2359SAF-100UG 1 mg/ml in 1X PBS; BSA free, sodium azide free 100 ug 539
Bulk quote request
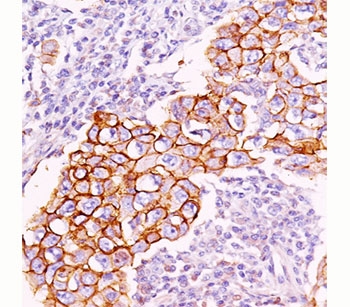
IHC staining of breast carcinoma with phosphotyrosine antibody (PY20). Note cell surface and cytoplasmic staining.
SDS-PAGE Analysis of Purified, BSA-Free Phosphotyrosine Antibody (clone PY20). Confirmation of Integrity and Purity of the Antibody.
Species Reactivity NA
Format Purified
Clonality Monoclonal (mouse origin)
Isotype Mouse IgG2b
Clone Name PY20
Purity Protein G affinity chromatography
Buffer 1X PBS, pH 7.4
Localization Depends on phosphorylated target localization
Applications Flow Cytometry : 0.5-1ug/10^6 cells
Immunofluorescence : 1-2ug/ml
Western Blot : 0.5-1ug/ml
Immunoprecipitation : 1-2ug/500ug protein lysate
Immunohistochemistry (FFPE) : 1-2ug/ml for 30 min at RT
Limitations This Phosphotyrosine antibody is available for research use only.
Review this product on BioCompare and get a $20 Amazon gift card

Related Products

Description

Protein phosphorylation is a fundamental event in the regulation of a large number of intracellular processes. Phosphorylation of specific tyrosine residues is the result of activation or stimulation of their respective protein tyrosine kinases. The phosphorylated proteins can be auto-phosphorylated kinases or certain cellular protein substrates. Tyrosine-phosphorylated proteins are involved in signal transduction and in the regulation of cell proliferation. Antibody to phosphotyrosine provides an excellent tool for the detection, characterization, and purification of phosphotyrosine containing proteins. This antibody shows no cross-reaction with other phosphoamino acids and is superb for multiple applications including staining of formalin/paraffin tissues.

Application Notes

The concentration stated for each application is a general starting point. Variations in protocols, secondaries and substrates may require the Phosphotyrosine antibody to be titered up or down for optimal performance.

1. No pretreatment is required for staining of formalin-fixed, paraffin-embedded tissues.

Immunogen

Phosphotyrosine conjugated to KLH was used as the immunogen for this antibody.

Storage

Store the Phosphotyrosine antibody at 2-8oC (with azide) or aliquot and store at -20oC or colder (without azide).

Alternate Names

P-Tyr

Cross
Bulk Quote Request Form
Name*:
Organization*:
Email*:
Phone Number*:
Catalog No.*:
Comments and Specifics(amount, formulation, etc.)*:
Validation code: Captchapackage Image


Can't read the image? click here to refresh.
    *required field

Your bulk quote request has been submitted successfully!

Please contact us if you have any questions.