• Tel: 858.663.9055
  • SeparatorEmail: info@nsjbio.com
  • Tel: 858.663.9055
  • Email: info@nsjbio.com
Home >> Antibodies >> Phosphorylated Tau antibody (pSer396)

Phosphorylated Tau antibody (pSer396) [clone RM461] (R20474)

  Catalog No Formulation Size Price (USD)  
Image R20474-0.1ML Antibody in PBS with 50% glycerol, 1% BSA and 0.09% sodium azide 100 ul 429
Microvalidated Recrabbitmono
Bulk quote request
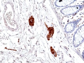
IHC staining of FFPE human colon tissue with recombinant Phosphorylated Tau antibody at 1:50.
IHC staining of FFPE human brain tissue with recombinant Phosphorylated Tau antibody at 1:50.
Western blot of mouse brain tissue lysate using recombinant Phosphorylated Tau antibody at a 1:1000 dilution. The phospho-specificity of the antibody was verified by peptide blocking using a phosphopeptide or non-phosphopeptide targeting residue Ser396. The expected molecular weight of phosphorylated Tau (Ser198) is approximately 45-70 kDa, corresponding to the major Tau isoforms, and lower molecular weight bands around ~35 kDa may represent truncated Tau fragments commonly observed in brain tissue.
Availability 1-3 business days
Species Reactivity Human, Mouse
Format Purified
Clonality Recombinant Rabbit Monoclonal
Isotype Rabbit IgG
Clone Name RM461
Purity Protein A purified from animal origin-free supernatant
UniProt P10636
Applications Immunohistochemistry (FFPE) : 1:50-1:100
Western Blot : 1:1000-1:2000.
Limitations This recombinant Phosphorylated Tau antibody is available for research use only.
Review this product on BioCompare and get a $20 Amazon gift card

Related Products

Description

This antibody reacts to Tau only when phosphorylated at Ser396.

Application Notes

The stated application concentrations are suggested starting points. Titration of the recombinant Phosphorylated Tau antibody may be required due to differences in protocols and secondary/substrate sensitivity.

Immunogen

A phospho-peptide corresponding to human Tau (Ser396) was used as the immunogen for the recombinant Phosphorylated Tau antibody.

Storage

Store the recombinant Phosphorylated Tau antibody at -20oC.

Cross
Bulk Quote Request Form
Name*:
Organization*:
Email*:
Phone Number*:
Catalog No.*:
Comments and Specifics(amount, formulation, etc.)*:
Validation code: Captchapackage Image


Can't read the image? click here to refresh.
    *required field

Your bulk quote request has been submitted successfully!

Please contact us if you have any questions.