• Tel: 858.663.9055
  • SeparatorEmail: info@nsjbio.com
  • Tel: 858.663.9055
  • Email: info@nsjbio.com
Home >> Antibodies >> Phosphorylated-p21 Antibody (pT57)

Phosphorylated-p21 Antibody (pT57) (F48425)

  Catalog No Formulation Size Price (USD)  
Image F48425-0.4ML In 1X PBS, pH 7.4, with 0.09% sodium azide 0.4 ml 429
Image
F48425-0.08ML In 1X PBS, pH 7.4, with 0.09% sodium azide 0.08 ml 199
Bulk quote request
Dot blot analysis of phosphorylated-p21 antibody. 50ng of phos-peptide or nonphos-peptide per dot were spotted.
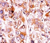
IHC analysis of FFPE human hepatocarcinoma tissue stained with the phosphorylated-p21 antibody.
Availability 1-3 business days
Species Reactivity Human
Format Antigen affinity purified
Clonality Polyclonal (rabbit origin)
Isotype Rabbit Ig
Purity Antigen affinity
UniProt P38936
Applications Dot Blot : 1:500
IHC (Paraffin) : 1:50-1:100
Limitations This phosphorylated-p21 antibody is available for research use only.
Review this product on BioCompare and get a $20 Amazon gift card

Related Products

Description

This gene encodes a potent cyclin-dependent kinase inhibitor. The encoded protein binds to and inhibits the activity of cyclin-CDK2 or -CDK4 complexes, and thus functions as a regulator of cell cycle progression at G1. The expression of this gene is tightly controlled by the tumor suppressor protein p53, through which this protein mediates the p53-dependent cell cycle G1 phase arrest in response to a variety of stress stimuli. This protein can interact with proliferating cell nuclear antigen (PCNA), a DNA polymerase accessory factor, and plays a regulatory role in S phase DNA replication and DNA damage repair. This protein was reported to be specifically cleaved by CASP3-like caspases, which thus leads to a dramatic activation of CDK2, and may be instrumental in the execution of apoptosis following caspase activation. Two alternatively spliced variants, which encode an identical protein, have been reported.

Application Notes

Titration of the phosphorylated-p21 antibody may be required due to differences in protocols and secondary/substrate sensitivity.

Immunogen

This phosphorylated-p21 antibody was produced from rabbits immunized with a KLH conjugated synthetic phosphopeptide corresponding to amino acid residues surrounding pT57 of human P21CIP1.

Storage

Aliquot the phosphorylated-p21 antibody and store frozen at -20oC or colder. Avoid repeated freeze-thaw cycles.

Cross
Bulk Quote Request Form
Name*:
Organization*:
Email*:
Phone Number*:
Catalog No.*:
Comments and Specifics(amount, formulation, etc.)*:
Validation code: Captchapackage Image


Can't read the image? click here to refresh.
    *required field

Your bulk quote request has been submitted successfully!

Please contact us if you have any questions.