• Tel: 858.663.9055
  • SeparatorEmail: info@nsjbio.com
  • Tel: 858.663.9055
  • Email: info@nsjbio.com
Home >> Antibodies >> Phospholipase A2 Receptor 1 Antibody / PLA2R1

Phospholipase A2 Receptor 1 Antibody / PLA2R1 [clone PLA2R1/4897] (V5700)

  Catalog No Formulation Size Price (USD)  
Image V5700-100UG 0.2 mg/ml in 1X PBS with 0.1 mg/ml BSA (US sourced), 0.05% sodium azide 100 ug 539
Image
V5700-20UG 0.2 mg/ml in 1X PBS with 0.1 mg/ml BSA (US sourced), 0.05% sodium azide 20 ug 249
Image
V5700SAF-100UG 1 mg/ml in 1X PBS; BSA free, sodium azide free 100 ug 539
Bulk quote request
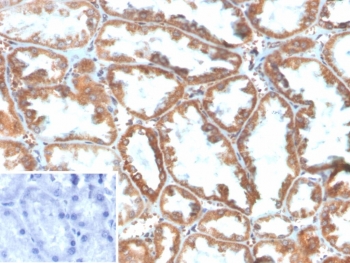
IHC staining of FFPE human kidney tissue with Phospholipase A2 Receptor 1 antibody (clone PLA2R1/4897). Inset: PBS used in place of primary Ab (secondary Ab negative control). HIER: boil tissue sections in pH 9 10mM Tris with 1mM EDTA for 20 min and allow to cool before testing.
SDS-PAGE analysis of purified, BSA-free Phospholipase A2 Receptor 1 antibody (clone PLA2R1/4897) as confirmation of integrity and purity.
Availability 1-3 business days
Species Reactivity Human
Format Purified
Clonality Monoclonal (mouse origin)
Isotype Mouse IgG1, kappa
Clone Name PLA2R1/4897
Purity Protein G affinity
UniProt Q13018
Localization Cell membrane, Secreted
Applications Immunohistochemistry (FFPE) : 1-2ug/ml
Limitations This Phospholipase A2 Receptor 1 antibody is available for research use only.
Review this product on BioCompare and get a $20 Amazon gift card

Related Products

Description

Phospholipase A2 Receptor 1 may play a role in clearance of phospholipase A2, thereby inhibiting its action.

Application Notes

Optimal dilution of the Phospholipase A2 Receptor 1 antibody should be determined by the researcher.

Immunogen

A portion of amino acids 300-600 from human PLA2R1 protein was used as the immunogen for the Phospholipase A2 Receptor 1 antibody.

Storage

Aliquot the Phospholipase A2 Receptor 1 antibody and store frozen at -20oC or colder. Avoid repeated freeze-thaw cycles.

Cross
Bulk Quote Request Form
Name*:
Organization*:
Email*:
Phone Number*:
Catalog No.*:
Comments and Specifics(amount, formulation, etc.)*:
Validation code: Captchapackage Image


Can't read the image? click here to refresh.
    *required field

Your bulk quote request has been submitted successfully!

Please contact us if you have any questions.