• Tel: 858.663.9055
  • SeparatorEmail: info@nsjbio.com
  • Tel: 858.663.9055
  • Email: info@nsjbio.com
Home >> Antibodies >> Phosphoglucomutase 5 Antibody / PGM5 / Aciculin

Phosphoglucomutase 5 Antibody / PGM5 / Aciculin [clone PGM5/3552] (V9692)

  Catalog No Formulation Size Price (USD)  
Image V9692-100UG 0.2 mg/ml in 1X PBS with 0.1 mg/ml BSA (US sourced), 0.05% sodium azide 100 ug 539
Image
V9692-20UG 0.2 mg/ml in 1X PBS with 0.1 mg/ml BSA (US sourced), 0.05% sodium azide 20 ug 249
Image
V9692SAF-100UG 1 mg/ml in 1X PBS; BSA free, sodium azide free 100 ug 539
Microvalidated
Bulk quote request
Western blot testing of human heart tissue lysate using Phosphoglucomutase 5 antibody (clone PGM5/3552). Predicted molecular weight ~62 kDa.
IHC staining of FFPE human uterus with Phosphoglucomutase 5 antibody (clone PGM5/3552)at 2ug/ml. HIER: boil tissue sections in pH 9 10mM Tris with 1mM EDTA for 20 min and allow to cool before testing.
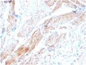
IHC staining of FFPE human bladder tissue with Phosphoglucomutase 5 antibody (clone PGM5/3552) at 2ug/ml. HIER: boil tissue sections in pH 9 10mM Tris with 1mM EDTA for 20 min and allow to cool before testing.
SDS-PAGE analysis of purified, BSA-free Phosphoglucomutase 5 antibody (clone PGM5/3552) as confirmation of integrity and purity.
Analysis of HuProt(TM) microarray containing more than 19,000 full-length human proteins using Phosphoglucomutase 5 antibody (clone PGM5/3552). These results demonstrate the foremost specificity of the PGM5/3552 mAb. Z- and S- score: The Z-score represents the strength of a signal that an antibody (in combination with a fluorescently-tagged anti-IgG secondary Ab) produces when binding to a particular protein on the HuProt(TM) array. Z-scores are described in units of standard deviations (SD's) above the mean value of all signals generated on that array. If the targets on the HuProt(TM) are arranged in descending order of the Z-score, the S-score is the difference (also in units of SD's) between the Z-scores. The S-score therefore represents the relative target specificity of an Ab to its intended target.
Availability 1-3 business days
Species Reactivity Human
Format Purified
Clonality Monoclonal (mouse origin)
Isotype Mouse IgG2a, kappa
Clone Name PGM5/3552
Purity Protein A/G affinity
UniProt Q15124
Localization Cytoplasm
Applications ELISA (order BSA-free Format For Coating) :
Western Blot : 1-2ug/ml
Immunohistochemistry (FFPE) : 1-2ug/ml
Limitations This Phosphoglucomutase 5 antibody is available for research use only.
Review this product on BioCompare and get a $20 Amazon gift card

Related Products

Description

Aciculin, also known as PGM5 (phosphoglucomutase 5) or PGMRP, is a 567 amino acid protein that belongs to the phosphoglucomutase family of phosphotransferases, which play an important role in the interconversion of glucose-1-phosphate and glucose-6-phosphate. Localized to the cell junction and expressed at high levels in smooth and cardiac muscle, Aciculin binds magnesium as a cofactor and interacts with dystrophin and utrophin, possibly playing a role in cytoskeletal organization and function. Aciculin exists as two alternatively spliced isoforms and is encoded by a gene that maps to human chromosome 9, which houses over 900 genes and comprises nearly 4% of the human genome.

Application Notes

Optimal dilution of the Phosphoglucomutase 5 antibody should be determined by the researcher.

Immunogen

Recombinant full-length human protein was used as the immunogen for the Phosphoglucomutase 5 antibody.

Storage

Aliquot the Phosphoglucomutase 5 antibody and store frozen at -20oC or colder. Avoid repeated freeze-thaw cycles.

Cross
Bulk Quote Request Form
Name*:
Organization*:
Email*:
Phone Number*:
Catalog No.*:
Comments and Specifics(amount, formulation, etc.)*:
Validation code: Captchapackage Image


Can't read the image? click here to refresh.
    *required field

Your bulk quote request has been submitted successfully!

Please contact us if you have any questions.