• Tel: 858.663.9055
  • SeparatorEmail: info@nsjbio.com
  • Tel: 858.663.9055
  • Email: info@nsjbio.com
Home >> Antibodies >> Phospho-Src (Tyr529) Antibody

Phospho-Src (Tyr529) Antibody [clone 32S01] (FY12031)

  Catalog No Formulation Size Price (USD)  
Image FY12031 Rabbit IgG in phosphate buffered saline, pH 7.4, 150mM NaCl, 0.02% sodium azide and 50% glycerol, 0.4-0.5mg/ml BSA 100 ul 439
Microvalidated Recrabbitmono
Bulk quote request
All lanes use the antibody at 1:3K dilution for 1 hour at room temperature. Expected size for c-Src (phospho-Tyr529) ~60 kDa. Observed (possible) doublet at ~55 kDa and ~60 kDa likely reflects full-length and slightly modified/truncated phosphorylated forms of c-Src, consistent with literature indicating Src family kinases migrate in the 55-62 kDa range.
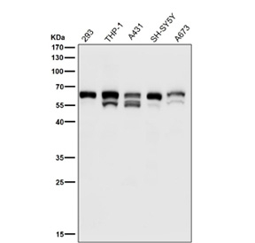
Western blot analysis of Phospho-Src (Y529) expression in cell treated with EGF lysate. Expected size for c-Src (phospho-Tyr529) ~60 kDa. Observed (possible) doublet at ~55 kDa and ~60 kDa likely reflects full-length and slightly modified/truncated phosphorylated forms of c-Src, consistent with literature indicating Src family kinases migrate in the 55-62 kDa range.
All lanes use the antibody at 1:3K dilution for 1 hour at room temperature. Expected size for c-Src (phospho-Tyr529) ~60 kDa. Observed (possible) doublet at ~55 kDa and ~60 kDa likely reflects full-length and slightly modified/truncated phosphorylated forms of c-Src, consistent with literature indicating Src family kinases migrate in the 55-62 kDa range.
Availability 2-3 weeks
Species Reactivity Human, Mouse, Rat
Format Liquid
Clonality Recombinant Rabbit Monoclonal
Isotype Rabbit IgG
Clone Name 32S01
Purity Affinity-chromatography
Buffer Rabbit IgG in phosphate buffered saline, pH 7.4, 150mM NaCl, 0.02% sodium azide and 50% glycerol, 0.4-0.5mg/ml BSA.
UniProt P12931
Applications Western Blot : 1:500-1:2000
Immunocytochemistry/Immunofluorescence : 1:50-1:200
Limitations This Phospho-Src (Tyr529) antibody is available for research use only.
Review this product on BioCompare and get a $20 Amazon gift card

Related Products

  • Applications : WB
    Reactivity : Human, Mouse, Rat
    Rab Mono Image
  • Applications : WB, ELISA
    Reactivity : Human
    Pred. Reactivity : Chicken, Mouse, Rat, Xenopus, Zebrafish
  • Applications : DB, ELISA
    Reactivity : Human
    Pred. Reactivity : Bovine, Chicken, Mouse, Pig, Rat, Xenopus, Zebrafish
  • Applications : DB, IHC, ELISA
    Reactivity : Human
    Pred. Reactivity : Chicken, Mouse, Rat, Zebrafish

Description

Phospho-Src (Tyr529) antibody detects Src kinase phosphorylated at tyrosine 529, a regulatory modification that maintains Src in an inactive conformation. Src is a non-receptor tyrosine kinase involved in diverse cellular pathways, including proliferation, adhesion, and cytoskeletal dynamics. Phosphorylation at Tyr529 creates an intramolecular interaction that suppresses kinase activity until signaling cues trigger dephosphorylation and activation.

Research employing Phospho-Src (Tyr529) antibody has shown that deregulation of this phosphorylation site contributes to oncogenesis. Loss of inhibitory phosphorylation at Tyr529 results in constitutively active Src, promoting tumor cell invasion, angiogenesis, and metastasis. Beyond cancer, Src regulation impacts immune signaling, bone metabolism, and neuronal communication, underscoring its broad biological relevance.

Antibodies specific for Src phosphorylated at Tyr529 are used in assays such as western blot, immunoprecipitation, and immunofluorescence. These reagents allow scientists to measure Src activation status and investigate how signaling pathways modulate its phosphorylation. Clone-validated specificity ensures recognition of only the phosphorylated form, avoiding cross-reactivity with total Src protein.

NSJ Bioreagents supplies this Phospho-Src (Tyr529) antibody to support research into cancer signaling, kinase regulation, and cellular communication. Alternate names include proto-oncogene tyrosine-protein kinase Src antibody and pp60c-Src antibody.

Application Notes

Optimal dilution of the Phospho-Src (Tyr529) antibody should be determined by the researcher.

Immunogen

A synthesized peptide derived from human Phospho-Src (Y529) was used as the immunogen for the Phospho-Src (Tyr529) antibody.

Storage

Store the Phospho-Src (Tyr529) antibody at -20oC.

Cross
Bulk Quote Request Form
Name*:
Organization*:
Email*:
Phone Number*:
Catalog No.*:
Comments and Specifics(amount, formulation, etc.)*:
Validation code: Captchapackage Image


Can't read the image? click here to refresh.
    *required field

Your bulk quote request has been submitted successfully!

Please contact us if you have any questions.