• Tel: 858.663.9055
  • SeparatorEmail: info@nsjbio.com
  • Tel: 858.663.9055
  • Email: info@nsjbio.com
Home >> Antibodies >> Phospho-Src Antibody (pY530)

Phospho-Src Antibody (pY530) (F48453)

  Catalog No Formulation Size Price (USD)  
Image F48453-0.4ML In 1X PBS, pH 7.4, with 0.09% sodium azide 0.4 ml 429
Image
F48453-0.08ML In 1X PBS, pH 7.4, with 0.09% sodium azide 0.08 ml 199
Bulk quote request
Dot blot analysis of phospho-Src antibody. 50ng of phos-peptide or nonphos-peptide per dot were spotted.
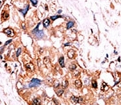
IHC analysis of FFPE human hepatocarcinoma tissue stained with the phospho-Src antibody.
Availability 1-3 business days
Species Reactivity Human
Predicted Reactivity Chicken, Mouse, Rat, Zebrafish
Format Antigen affinity purified
Clonality Polyclonal (rabbit origin)
Isotype Rabbit Ig
Purity Antigen affinity
UniProt P12931
Applications Dot Blot : 1:500
IHC (Paraffin) : 1:50-1:100
Limitations This phospho-Src antibody is available for research use only.
Review this product on BioCompare and get a $20 Amazon gift card

Related Products

  • Applications : WB
    Reactivity : Human, Mouse, Rat
    Rab Mono Image
  • Applications : WB, ELISA
    Reactivity : Human
    Pred. Reactivity : Chicken, Mouse, Rat, Xenopus, Zebrafish
  • Applications : DB, ELISA
    Reactivity : Human
    Pred. Reactivity : Bovine, Chicken, Mouse, Pig, Rat, Xenopus, Zebrafish

Description

This protein has tyrosine kinase activity and belongs to the src family of proteins.

Application Notes

Titration of the phospho-Src antibody may be required due to differences in protocols and secondary/substrate sensitivity.

Immunogen

This phospho-Src antibody was produced from rabbits immunized with a KLH conjugated synthetic phosphopeptide corresponding to amino acid residues surrounding pY530 of human Src.

Storage

Aliquot the phospho-Src antibody and store frozen at -20oC or colder. Avoid repeated freeze-thaw cycles.

Cross
Bulk Quote Request Form
Name*:
Organization*:
Email*:
Phone Number*:
Catalog No.*:
Comments and Specifics(amount, formulation, etc.)*:
Validation code: Captchapackage Image


Can't read the image? click here to refresh.
    *required field

Your bulk quote request has been submitted successfully!

Please contact us if you have any questions.