• Tel: 858.663.9055
  • SeparatorEmail: info@nsjbio.com
  • Tel: 858.663.9055
  • Email: info@nsjbio.com
Home >> Antibodies >> Phospho-SMAD4 Antibody (pT277)

Phospho-SMAD4 Antibody (pT277) (F48451)

  Catalog No Formulation Size Price (USD)  
Image F48451-0.4ML In 1X PBS, pH 7.4, with 0.09% sodium azide 0.4 ml 429
Image
F48451-0.08ML In 1X PBS, pH 7.4, with 0.09% sodium azide 0.08 ml 199
Bulk quote request
Confocal immunofluorescent analysis of phospho-SMAD4 antibody with HeLa cells followed by Alexa Fluor 488-conjugated goat anti-rabbit lgG (green). DAPI was used as a nuclear counterstain (blue).
Dot blot analysis of phospho-SMAD4 antibody. 50ng of phos-peptide or nonphos-peptide per dot were spotted.
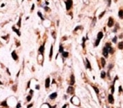
IHC analysis of FFPE breast carcinoma stained with phospho-SMAD4 antibody.
Availability 1-3 business days
Species Reactivity Human
Predicted Reactivity Mouse, Rat
Format Antigen affinity purified
Clonality Polyclonal (rabbit origin)
Isotype Rabbit Ig
Purity Antigen affinity
UniProt Q13485
Applications Immunofluorescence : 1:10-1:50
Dot Blot : 1:500
IHC (Paraffin) : 1:10-1:50
Limitations This phospho-SMAD4 antibody is available for research use only.
Review this product on BioCompare and get a $20 Amazon gift card

Related Products

Description

Common mediator of signal transduction by TGF-beta (transforming growth factor) superfamily, SMAD4 is the common SMAD (co-SMAD). It promotes binding of the SMAD2/SMAD4/FAST-1 complex to DNA and provides an activation function required for SMAD1 or SMAD2 to stimulate transcription. It may act as a tumor suppressor.

Application Notes

Titration of the phospho-SMAD4 antibody may be required due to differences in protocols and secondary/substrate sensitivity.

Immunogen

This phospho-SMAD4 antibody was produced from rabbits immunized with a KLH conjugated synthetic phosphopeptide corresponding to amino acid residues surrounding pT277 of human SMAD4.

Storage

Aliquot the phospho-SMAD4 antibody and store frozen at -20oC or colder. Avoid repeated freeze-thaw cycles.

Cross
Bulk Quote Request Form
Name*:
Organization*:
Email*:
Phone Number*:
Catalog No.*:
Comments and Specifics(amount, formulation, etc.)*:
Validation code: Captchapackage Image


Can't read the image? click here to refresh.
    *required field

Your bulk quote request has been submitted successfully!

Please contact us if you have any questions.