• Tel: 858.663.9055
  • SeparatorEmail: info@nsjbio.com
  • Tel: 858.663.9055
  • Email: info@nsjbio.com
Home >> Antibodies >> Phospho-PAK1/2/3 Antibody (pS144/pS141/pS139)

Phospho-PAK1/2/3 Antibody (pS144/pS141/pS139) [clone CFF-16] (RQ4789)

  Catalog No Formulation Size Price (USD)  
Image RQ4789 Antibody in PBS with 0.02% sodium azide, 50% glycerol and 0.4-0.5mg/ml BSA 100 ul 439
Microvalidated Rab Mono Image
Bulk quote request
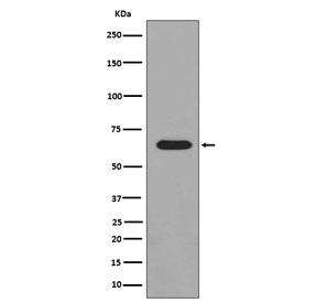
Western blot testing of lysate from lambda phosphatase-treated human HeLa cells with phospho-PAK1/2/3 antibody. Predicted molecular weight ~62 kDa.
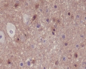
IHC staining of FFPE mouse brain with phospho-PAK1/2/3 antibody. HIER: boil tissue sections in pH6, 10mM citrate buffer, for 10-20 min and allow to cool before testing.
Availability 1-2 weeks
Species Reactivity Human, Mouse
Format Purified
Clonality Rabbit Monoclonal
Isotype Rabbit IgG
Clone Name CFF-16
Purity Affinity purified
UniProt O75914
Applications Western Blot : 1:1000-1:10000
Immunohistochemistry (FFPE) : 1:50-1:200
Limitations This phospho-PAK1/2/3 antibody is available for research use only.
Review this product on BioCompare and get a $20 Amazon gift card

Related Products

  • Applications : WB
    Reactivity : Human, Mouse, Rat
  • Applications : WB, IF, IHC, ELISA
    Reactivity : Human
    Pred. Reactivity : Mouse, Rat, Bovine, Rabbit, Xenopus
  • Applications : WB, ELISA (peptide)
    Reactivity : Human, Mouse, Rat
    Pred. Reactivity : Dog
  • Applications : WB, Direct ELISA
    Reactivity : Human, Mouse, Rat
  • Applications : WB, IHC-P, IF, FACS, Direct ELISA
    Reactivity : Human, Mouse, Rat

Description

PAK proteins, a family of serine/threonine p21-activating kinases, serve as targets for the small GTP binding proteins Cdc42 and RAC and have been implicated in a wide range of biological activities.

Application Notes

Optimal dilution of the phospho-PAK1/2/3 antibody should be determined by the researcher.

Immunogen

A synthetic peptide specific to human PAK1/2/3 (surrounding pS144/pS141/pS139) was used as the immunogen for the phospho-PAK1/2/3 antibody.

Storage

Store the phospho-PAK1/2/3 antibody at -20oC.

Cross
Bulk Quote Request Form
Name*:
Organization*:
Email*:
Phone Number*:
Catalog No.*:
Comments and Specifics(amount, formulation, etc.)*:
Validation code: Captchapackage Image


Can't read the image? click here to refresh.
    *required field

Your bulk quote request has been submitted successfully!

Please contact us if you have any questions.