• Tel: 858.663.9055
  • SeparatorEmail: info@nsjbio.com
  • Tel: 858.663.9055
  • Email: info@nsjbio.com
Home >> Antibodies >> Phospho-p38 (Thr180) Antibody / MAPK14

Phospho-p38 (Thr180) Antibody / MAPK14 [clone 31M76] (FY12991)

  Catalog No Formulation Size Price (USD)  
Image FY12991 Rabbit IgG in phosphate buffered saline, pH 7.4, 150mM NaCl, 0.02% sodium azide and 50% glycerol, 0.4-0.5mg/ml BSA 100 ul 439
Microvalidated Recrabbitmono
Bulk quote request
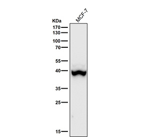
Western blot using the Phospho-p38 (Thr180) antibody and MCF-7 cell lysate shows a predominant band at ~38-40 kDa consistent with p38 alpha, with a faint higher species (~41-42 kDa) attributable to p38 beta or a more highly phosphorylated pool.
Western blot analysis of Phospho-p38 (T180) expression in lysate from HeLa cells treated with anisomycin, using Phospho-p38 (Thr180) antibody. Expected molecular weight ~38 kDa.
Availability 2-3 weeks
Species Reactivity Human
Format Liquid
Clonality Recombinant Rabbit Monoclonal
Isotype Rabbit IgG
Clone Name 31M76
Purity Affinity-chromatography
Buffer Rabbit IgG in phosphate buffered saline, pH 7.4, 150mM NaCl, 0.02% sodium azide and 50% glycerol, 0.4-0.5mg/ml BSA.
UniProt Q16539
Applications Western Blot : 1:500-1:2000
Immunohistochemistry : 1:50-1:200
Limitations This Phospho-p38 (Thr180) antibody is available for research use only.
Review this product on BioCompare and get a $20 Amazon gift card

Related Products

Description

Phospho-p38 (Thr180) antibody detects p38 mitogen activated protein kinase when phosphorylated at threonine 180. The protein is encoded by the MAPK14 gene and is a key member of the stress activated MAP kinase family. Activation of p38 occurs through dual phosphorylation at threonine 180 and tyrosine 182 by upstream kinases such as MKK3 and MKK6. Phospho-p38 (Thr180) antibody provides a specific reagent to monitor pathway activation during responses to cytokines, ultraviolet radiation, osmotic stress, and inflammatory signals.

p38 mitogen activated protein kinase regulates a wide range of biological processes, including transcription, cell cycle arrest, apoptosis, and cytokine production. Following phosphorylation at threonine 180, p38 phosphorylates substrates such as ATF2, MAPKAPK2, and HSP27, linking stress signals to gene expression and cytoskeletal remodeling. Studies with Phospho-p38 (Thr180) antibody have shown that pathway activation is transient and tightly controlled, ensuring that cellular stress responses are adaptive rather than destructive. Dysregulation of this phosphorylation event contributes to inflammatory disease, cancer, and neurodegeneration.

In immune biology, p38 activation promotes the production of cytokines such as TNF alpha, IL6, and IL1 beta. Research using Phospho-p38 (Thr180) antibody has demonstrated that inhibition of p38 phosphorylation reduces inflammatory cytokine output, supporting therapeutic strategies targeting this pathway. In oncology, altered p38 signaling influences tumor cell apoptosis, angiogenesis, and metastasis, making it a subject of active drug development. In neurons, aberrant phosphorylation contributes to synaptic dysfunction and degenerative disease.

Phospho-p38 (Thr180) antibody is widely used in western blotting, immunohistochemistry, and immunofluorescence. Western blotting reveals activation status across experimental conditions, while immunohistochemistry highlights tissue specific phosphorylation patterns. Immunofluorescence demonstrates subcellular distribution of active kinase in stressed cells. These applications provide critical insights into stress signaling, immune regulation, and pathological responses.

NSJ Bioreagents provides Phospho-p38 (Thr180) antibody to support research into MAP kinase pathways, stress responses, and therapeutic development. By enabling precise detection of this key phosphorylation event, researchers can study how stress activated signaling influences health and disease.

Application Notes

Optimal dilution of the Phospho-p38 (Thr180) antibody should be determined by the researcher.

Immunogen

A synthesized peptide derived from human Phospho-p38 (T180) was used as the immunogen for the Phospho-p38 (Thr180) antibody.

Storage

Store the Phospho-p38 (Thr180) antibody at -20oC.

Cross
Bulk Quote Request Form
Name*:
Organization*:
Email*:
Phone Number*:
Catalog No.*:
Comments and Specifics(amount, formulation, etc.)*:
Validation code: Captchapackage Image


Can't read the image? click here to refresh.
    *required field

Your bulk quote request has been submitted successfully!

Please contact us if you have any questions.