• Tel: 858.663.9055
  • SeparatorEmail: info@nsjbio.com
  • Tel: 858.663.9055
  • Email: info@nsjbio.com
Home >> Antibodies >> Phospho-Nucleophosmin (Ser125) Antibody / NPM1

Phospho-Nucleophosmin (Ser125) Antibody / NPM1 [clone 32N71] (FY13010)

  Catalog No Formulation Size Price (USD)  
Image FY13010 Rabbit IgG in phosphate buffered saline, pH 7.4, 150mM NaCl, 0.02% sodium azide and 50% glycerol, 0.4-0.5mg/ml BSA 100 ul 439
Microvalidated Recrabbitmono
Bulk quote request
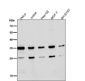
Western blot testing of human samples using the Phospho-Nucleophosmin (Ser125) antibody at 1:3000 dilution for 1 hour at room temperature. A predominant band is observed at ~35 kDa, consistent with phosphorylated NPM1 migrating slightly above its predicted 33 kDa. An additional ~26 kDa species is detected, consistent with a Ser125-containing proteolytic fragment of NPM1 that appears in some cell lysates.
Western blot testing of mouse brain tissue lysate using the Phospho-Nucleophosmin (Ser125) antibody at 1:3000 dilution for 1 hour at room temperature. A predominant band is observed at ~35 kDa, consistent with phosphorylated NPM1 migrating slightly above its predicted 33 kDa. An additional ~26 kDa species is detected, consistent with a Ser125-containing proteolytic fragment of NPM1 that appears in some cell lysates.
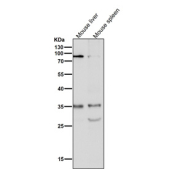
Western blot testing of mouse samples lysate using the Phospho-Nucleophosmin (Ser125) antibody at 1:3000 dilution for 1 hour at room temperature. A predominant band is observed at ~35 kDa, consistent with phosphorylated NPM1 migrating slightly above its predicted 33 kDa. An additional ~26 kDa species is detected, consistent with a Ser125-containing proteolytic fragment of NPM1 that appears in some cell lysates.
Availability 2-3 weeks
Species Reactivity Human, Mouse, Rat
Format Liquid
Clonality Recombinant Rabbit Monoclonal
Isotype Rabbit IgG
Clone Name 32N71
Purity Affinity chromatography
Buffer Rabbit IgG in phosphate buffered saline, pH 7.4, 150mM NaCl, 0.02% sodium azide and 50% glycerol, 0.4-0.5mg/ml BSA.
UniProt P06748
Applications Western Blot : 1:500-1:2000
Immunohistochemistry : 1:50-1:200
Limitations This Phospho-Nucleophosmin (Ser125) antibody is available for research use only.
Review this product on BioCompare and get a $20 Amazon gift card

Description

Phospho-Nucleophosmin (Ser125) antibody detects Nucleophosmin when phosphorylated at serine 125, encoded by the NPM1 gene. Nucleophosmin is a multifunctional phosphoprotein that shuttles between the nucleolus, nucleus, and cytoplasm. It is involved in ribosome biogenesis, centrosome duplication, DNA repair, and regulation of tumor suppressors such as ARF and p53. Phosphorylation of Nucleophosmin at serine 125 plays a critical role in controlling its subcellular localization and activity, making Phospho-Nucleophosmin (Ser125) antibody a valuable reagent for studies of cell cycle progression, oncogenesis, and stress response.

Nucleophosmin is abundant in the nucleolus, where it functions in ribosomal RNA processing and assembly of ribosomal subunits. Phosphorylation at serine 125 occurs during mitosis, and research with Phospho-Nucleophosmin (Ser125) antibody has revealed that this modification promotes centrosome separation and spindle formation. By regulating Nucleophosmin function, phosphorylation ensures faithful chromosome segregation and prevents aneuploidy. Disruption of this modification impairs mitotic progression and contributes to genomic instability, highlighting its importance in cell division control.

NPM1 is also a key player in hematological malignancies. Mutations in NPM1, particularly frame-shift mutations in exon 12, are among the most frequent genetic alterations in acute myeloid leukemia. These mutations cause aberrant cytoplasmic localization of Nucleophosmin, altering its regulatory functions. Research using Phospho-Nucleophosmin (Ser125) antibody has shown that phosphorylation state influences localization and protein interactions, potentially modulating leukemogenesis. Furthermore, phosphorylation may interact with mutational effects, making it an area of interest in understanding leukemia biology and therapy.

Beyond cancer, Nucleophosmin phosphorylation contributes to stress responses, DNA repair, and apoptosis regulation. Phospho-Nucleophosmin (Ser125) antibody has been used to demonstrate that cellular stress induces phosphorylation at this site, altering interactions with ARF and p53. These findings suggest a broader role for Nucleophosmin phosphorylation in tumor suppression and cell fate decisions. Since Nucleophosmin participates in chromatin remodeling, this modification may also influence transcription and epigenetic regulation.

Phospho-Nucleophosmin (Ser125) antibody is widely applied in western blotting, immunofluorescence, and immunohistochemistry. Western blotting distinguishes phosphorylated from unmodified forms, while immunofluorescence visualizes dynamic localization changes during the cell cycle. Immunohistochemistry allows detection of phosphorylation patterns in tumor tissue, linking biochemical modification to disease phenotype. These experimental approaches provide insights into the regulation of Nucleophosmin in health and disease.

By supplying validated Phospho-Nucleophosmin (Ser125) antibody reagents, NSJ Bioreagents supports research into cancer biology, mitosis, and stress response. Detection of Nucleophosmin phosphorylation at serine 125 provides a precise tool to explore how this critical protein coordinates cell cycle regulation and tumor suppression.

Application Notes

Optimal dilution of the Phospho-Nucleophosmin (Ser125) antibody should be determined by the researcher.

Immunogen

A synthesized peptide derived from human Phospho-Nucleophosmin (S125) was used as the immunogen for the Phospho-Nucleophosmin (Ser125) antibody.

Storage

Store the Phospho-Nucleophosmin (Ser125) antibody at -20oC.

Cross
Bulk Quote Request Form
Name*:
Organization*:
Email*:
Phone Number*:
Catalog No.*:
Comments and Specifics(amount, formulation, etc.)*:
Validation code: Captchapackage Image


Can't read the image? click here to refresh.
    *required field

Your bulk quote request has been submitted successfully!

Please contact us if you have any questions.