• Tel: 858.663.9055
  • SeparatorEmail: info@nsjbio.com
  • Tel: 858.663.9055
  • Email: info@nsjbio.com
Home >> Antibodies >> Phospho-JAK2 Antibody (pY1007/pY1008)

Phospho-JAK2 Antibody (pY1007/pY1008) [clone IFE-10] (RQ4763)

  Catalog No Formulation Size Price (USD)  
Image RQ4763 Antibody in PBS with 0.02% sodium azide, 50% glycerol and 0.4-0.5mg/ml BSA 100 ul 439
Microvalidated Rab Mono Image
Bulk quote request
IF/ICC testing of pervanadate-treated human Jurkat cells with phospho-JAK2 antibody.
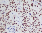
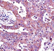
IHC staining of FFPE human tissue with phospho-JAK2 antibody. HIER: boil tissue sections in pH6, 10mM citrate buffer, for 10-20 min and allow to cool before testing.
Western blot testing with phospho-JAK2 antibody. Predicted molecular weight ~130 kDa.
Availability 1-2 weeks
Species Reactivity Human, Mouse, Rat
Format Purified
Clonality Rabbit Monoclonal
Isotype Rabbit IgG
Clone Name IFE-10
Purity Affinity purified
UniProt O60674
Localization Nuclear, cytoplasmic
Applications Western Blot : 1:500-1:2000
Immunohistochemistry (FFPE) : 1:50-1:200
Immunofluorescence/Immunocytochemistry : 1:50-1:200
Limitations This phospho-JAK2 antibody is available for research use only.
Review this product on BioCompare and get a $20 Amazon gift card

Related Products

  • Applications : IF/ICC, IHC-P, WB
    Reactivity : Human, Mouse, Rat
    Rab Mono Image
  • Applications : WB, IF, FACS, ELISA
    Reactivity : Human, Mouse
  • Applications : WB, IHC, ELISA
    Reactivity : Mouse
    Pred. Reactivity : Rat, Pig
  • Applications : WB, ELISA
    Reactivity : Human
    Pred. Reactivity : Mouse, Rat, Pig, Chicken
  • Applications : WB, ELISA
    Reactivity : Human
    Pred. Reactivity : Mouse, Rat, Pig, Chicken

Description

Janus kinase 2 is a human protein that has been implicated in signaling by members of the type II cytokine receptor family, the GM-CSF receptor family, the gp130 receptor family, and the single chain receptors.

Application Notes

Optimal dilution of the phospho-JAK2 antibody should be determined by the researcher.

Immunogen

A synthetic peptide specific to human JAK2 (surrounding pY1007/pY1008) was used as the immunogen for the phospho-JAK2 antibody.

Storage

Store the phospho-JAK2 antibody at -20oC.

Cross
Bulk Quote Request Form
Name*:
Organization*:
Email*:
Phone Number*:
Catalog No.*:
Comments and Specifics(amount, formulation, etc.)*:
Validation code: Captchapackage Image


Can't read the image? click here to refresh.
    *required field

Your bulk quote request has been submitted successfully!

Please contact us if you have any questions.