• Tel: 858.663.9055
  • SeparatorEmail: info@nsjbio.com
  • Tel: 858.663.9055
  • Email: info@nsjbio.com
Home >> Antibodies >> Phospho-IRE1 Antibody (pS724)

Phospho-IRE1 Antibody (pS724) [clone EGH-5] (RQ4781)

  Catalog No Formulation Size Price (USD)  
Image RQ4781 Antibody in PBS with 0.02% sodium azide, 50% glycerol and 0.4-0.5mg/ml BSA 100 ul 439
Microvalidated Rab Mono Image
Bulk quote request
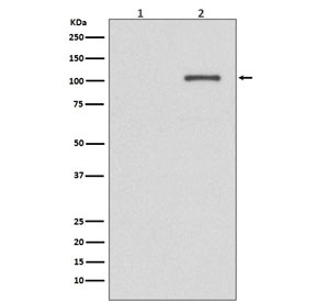
Western blot testing of lysate from 1) untreated and 2) AP-treated human K562 cells with phospho-IRE1 antibody. Predicted molecular weight ~110 kDa.
Availability 1-2 weeks
Species Reactivity Human
Format Purified
Clonality Rabbit Monoclonal
Isotype Rabbit IgG
Clone Name EGH-5
Purity Affinity purified
UniProt O75460
Applications Western Blot : 1:500-1:2000
Limitations This phospho-IRE1 antibody is available for research use only.
Review this product on BioCompare and get a $20 Amazon gift card

Related Products

  • Applications : WB, ELISA (peptide)
    Reactivity : Human
    Pred. Reactivity : Cow, Dog, Mouse, Pig, Rat
  • Applications : WB, ELISA
    Reactivity : Human, Mouse, Rat

Description

IRE1 is a serine/threonine-protein kinase and endoribonuclease that acts as a key sensor for the endoplasmic reticulum unfolded protein response (UPR). In unstressed cells, the ER luminal domain is maintained in its inactive monomeric state by binding to the ER chaperone HSPA5/BiP. Accumulation of misfolded protein in the ER causes release of HSPA5/BiP, allowing the luminal domain to homodimerize, promoting autophosphorylation of the kinase domain and subsequent activation of the endoribonuclease activity. [UniProt]

Application Notes

Optimal dilution of the phospho-IRE1 antibody should be determined by the researcher.

Immunogen

A synthetic peptide specific to human IRE1 / ERN1 (surrounding pS724) was used as the immunogen for the phospho-IRE1 antibody.

Storage

Store the phospho-IRE1 antibody at -20oC.

Cross
Bulk Quote Request Form
Name*:
Organization*:
Email*:
Phone Number*:
Catalog No.*:
Comments and Specifics(amount, formulation, etc.)*:
Validation code: Captchapackage Image


Can't read the image? click here to refresh.
    *required field

Your bulk quote request has been submitted successfully!

Please contact us if you have any questions.