• Tel: 858.663.9055
  • SeparatorEmail: info@nsjbio.com
  • Tel: 858.663.9055
  • Email: info@nsjbio.com
Home >> Antibodies >> Phospho-HSF1 Antibody (pS326)

Phospho-HSF1 Antibody (pS326) [clone BHI-8] (RQ8863)

  Catalog No Formulation Size Price (USD)  
Image RQ8863 Antibody in PBS with 0.02% sodium azide, 50% glycerol and 0.4-0.5mg/ml BSA 100 ul 439
Microvalidated Recrabbitmono
Bulk quote request
Immunofluorescent staining of FFPE human HeLa cells with Phospho-HSF1 antibody (green), Phalloidin (red) and DAPI nuclear stain (blue). HIER: steam section in pH6 citrate buffer for 20 min.
Immunofluorescent staining of FFPE human HeLa cells with Phospho-HSF1 antibody (green), Phalloidin (red) and DAPI nuclear stain (blue). HIER: steam section in pH6 citrate buffer for 20 min.
IHC staining of FFPE human spleen tissue with Phospho-HSF1 antibody. HIER: boil tissue sections in pH8 EDTA for 20 min and allow to cool before testing.
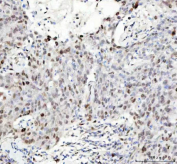
IHC staining of FFPE human breast cancer tissue with Phospho-HSF1 antibody. HIER: boil tissue sections in pH8 EDTA for 20 min and allow to cool before testing.
Western blot testing of human 1) HeLa, 2) K562, 3) HepG2 and 4) MCF7 cell lysate with Phospho-HSF1 antibody.
Availability 1-2 days
Species Reactivity Human
Format Purified
Clonality Recombinant Rabbit Monoclonal
Isotype Rabbit IgG
Clone Name BHI-8
Applications Western Blot : 1:500-1:2000
Immunohistochemistry (FFPE) : 1:50-1:200
Immunofluorescence : 1:50-1:200
Limitations This Phospho-HSF1 antibody (pS326) is available for research use only.
Review this product on BioCompare and get a $20 Amazon gift card

Related Products

Description

Phosphorylation of Heat shock factor protein 1 can either activate or inhibit its activity, depending on the specific sites that are modified. This intricate regulatory mechanism allows cells to fine-tune their response to stress and optimize their survival. Studies have shown that phosphorylation of HSF1 at certain sites can enhance its ability to bind to DNA and activate the expression of heat shock proteins. On the other hand, phosphorylation at other sites can inhibit HSF1 activity and promote its degradation. This delicate balance between activation and inhibition is critical for maintaining cellular homeostasis under stress conditions.

Application Notes

Optimal dilution of the Phospho-HSF1 antibody (pS326) should be determined by the researcher.

Immunogen

A synthetic peptide specific to the region of human HSF1 protein surrounding phosphorylated serine 326 protein was used as the immunogen for the Phospho-HSF1 antibody (pS326).

Storage

Store the Phospho-HSF1 antibody at -20oC.

Cross
Bulk Quote Request Form
Name*:
Organization*:
Email*:
Phone Number*:
Catalog No.*:
Comments and Specifics(amount, formulation, etc.)*:
Validation code: Captchapackage Image


Can't read the image? click here to refresh.
    *required field

Your bulk quote request has been submitted successfully!

Please contact us if you have any questions.