• Tel: 858.663.9055
  • SeparatorEmail: info@nsjbio.com
  • Tel: 858.663.9055
  • Email: info@nsjbio.com
Home >> Antibodies >> Phospho-Histone H3 (Ser28) Antibody / HIST1H3A

Phospho-Histone H3 (Ser28) Antibody / HIST1H3A [clone 32H09] (FY12176)

  Catalog No Formulation Size Price (USD)  
Image FY12176 Rabbit IgG in phosphate buffered saline, pH 7.4, 150mM NaCl, 0.02% sodium azide and 50% glycerol, 0.4-0.5mg/ml BSA 100 ul 439
Microvalidated Recrabbitmono
Bulk quote request
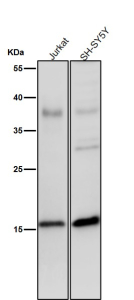
All lanes use the Phospho-Histone H3 (Ser28) antibody at 1:2K dilution for 1 hour at room temperature.
Availability 2-3 weeks
Species Reactivity Human, Mouse, Rat
Format Liquid
Clonality Recombinant Rabbit Monoclonal
Isotype Rabbit IgG
Clone Name 32H09
Purity Affinity-chromatography
Buffer Rabbit IgG in phosphate buffered saline, pH 7.4, 150mM NaCl, 0.02% sodium azide and 50% glycerol, 0.4-0.5mg/ml BSA.
UniProt P68431
Applications Western Blot : 1:500-1:2000
Immunohistochemistry : 1:50-1:200
Immunocytochemistry/Immunofluorescence : 1:50-1:200
Limitations This Phospho-Histone H3 (Ser28) antibody is available for research use only.
Review this product on BioCompare and get a $20 Amazon gift card

Related Products

Description

Phospho-Histone H3 (Ser28) antibody detects histone H3 phosphorylated at serine 28, a dynamic modification associated with chromosome condensation and transcriptional regulation. Histone H3, encoded in part by HIST1H3A, is a core component of the nucleosome and fundamental to chromatin organization. Phosphorylation at Ser28 is catalyzed by mitogen- and stress-activated kinases such as MSK1/2 and Aurora B kinase, and its regulation links extracellular signals to chromatin remodeling and cell cycle progression.

Research using Phospho-Histone H3 (Ser28) antibody has revealed two primary contexts for this modification. During mitosis and meiosis, phosphorylation at Ser28 contributes to chromatin condensation, working alongside Ser10 phosphorylation to facilitate chromosome segregation. In transcriptional regulation, Ser28 phosphorylation occurs in response to growth factors and stress stimuli, enhancing the expression of immediate-early genes involved in cell survival, differentiation, and stress adaptation.

Aberrant regulation of Ser28 phosphorylation has been implicated in cancer and developmental disorders. Elevated phospho-H3 (Ser28) levels are often found in tumors with high mitotic index, serving as a biomarker of proliferation and aggressiveness. Dysregulation of MSK and Aurora kinases, which control Ser28 phosphorylation, contributes to oncogenic transformation and therapy resistance. In developmental contexts, altered histone phosphorylation can disturb chromatin dynamics, leading to abnormal gene expression patterns.

Antibodies against phospho-H3 (Ser28) are validated for immunohistochemistry, immunofluorescence, flow cytometry, and western blot. These reagents allow detection of mitotic cells, quantification of proliferative activity, and assessment of chromatin modifications under various stimuli. Clone-based antibodies ensure specificity for the phosphorylated form, distinguishing it from total histone H3.

NSJ Bioreagents supplies this Phospho-Histone H3 (Ser28) antibody for studies in epigenetics, cancer biology, and chromatin regulation.

Application Notes

Optimal dilution of the Phospho-Histone H3 (Ser28) antibody should be determined by the researcher.

Immunogen

A synthesized peptide derived from human Phospho-Histone H3 (S28) was used as the immunogen for the Phospho-Histone H3 (Ser28) antibody.

Storage

Store the Phospho-Histone H3 (Ser28) antibody at -20oC.

Cross
Bulk Quote Request Form
Name*:
Organization*:
Email*:
Phone Number*:
Catalog No.*:
Comments and Specifics(amount, formulation, etc.)*:
Validation code: Captchapackage Image


Can't read the image? click here to refresh.
    *required field

Your bulk quote request has been submitted successfully!

Please contact us if you have any questions.