• Tel: 858.663.9055
  • SeparatorEmail: info@nsjbio.com
  • Tel: 858.663.9055
  • Email: info@nsjbio.com
Home >> Antibodies >> Phospho-Histone H2AX Antibody (pS139)

Phospho-Histone H2AX Antibody (pS139) [clone AbH41] (RQ4503)

  Catalog No Formulation Size Price (USD)  
Image RQ4503 Antibody in PBS with 0.02% sodium azide, 50% glycerol and 0.4-0.5mg/ml BSA 100 ul 439
Microvalidated Rab Mono Image
Bulk quote request
Immunofluorescent staining of human HeLa cells treated and untreated with H2O2 using phospho-Histone H2AX antibody (green) and DAPI nuclear stain (blue).
Western blot testing of etoposide-treated human Jurkat lysate with phospho-Histone H2AX antibody.
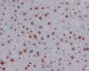
IHC testing of FFPE mouse liver with phospho-Histone H2AX antibody. HIER: boil tissue sections in pH6, 10mM citrate buffer, for 10-20 min followed by cooling at RT for 20 min.
Availability 1-2 weeks
Species Reactivity Human, Mouse
Format Purified
Clonality Rabbit Monoclonal
Isotype Rabbit IgG
Clone Name AbH41
Purity Protein A affinity
UniProt P16104
Localization Nucleus
Applications Western Blot : 1:500-1:1000ug/ml
IHC (FFPE) : 1:50-1:200
IF/ICC : 1:50-1:200
Limitations This phospho-Histone H2AX antibody is available for research use only.
Review this product on BioCompare and get a $20 Amazon gift card

Related Products

Description

Variant histone H2A which replaces conventional H2A in a subset of nucleosomes. Nucleosomes wrap and compact DNA into chromatin, limiting DNA accessibility to the cellular machineries which require DNA as a template. Histones thereby play a central role in transcription regulation, DNA repair, DNA replication and chromosomal stability. DNA accessibility is regulated via a complex set of post-translational modifications of histones, also called histone code, and nucleosome remodeling. Required for checkpoint-mediated arrest of cell cycle progression in response to low doses of ionizing radiation and for efficient repair of DNA double strand breaks (DSBs) specifically when modified by C- terminal phosphorylation. [UniProt]

Application Notes

Optimal dilution of the phospho-Histone H2AX antibody should be determined by the researcher.

Immunogen

The amino acids surrounding a phosphorylated serine at position 139 were used as the immunogen for the phospho-Histone H2AX antibody.

Storage

After reconstitution, the phospho-Histone H2AX antibody can be stored for up to one month at 4oC. For long-term, aliquot and store at -20oC. Avoid repeated freezing and thawing.

Cross
Bulk Quote Request Form
Name*:
Organization*:
Email*:
Phone Number*:
Catalog No.*:
Comments and Specifics(amount, formulation, etc.)*:
Validation code: Captchapackage Image


Can't read the image? click here to refresh.
    *required field

Your bulk quote request has been submitted successfully!

Please contact us if you have any questions.