• Tel: 858.663.9055
  • SeparatorEmail: info@nsjbio.com
  • Tel: 858.663.9055
  • Email: info@nsjbio.com
Home >> Antibodies >> Phospho-EIF2S1 Antibody (pS51)

Phospho-EIF2S1 Antibody (pS51) [clone IO-5] (RQ5120)

  Catalog No Formulation Size Price (USD)  
Image RQ5120 Antibody in PBS with 0.02% sodium azide, 50% glycerol and 0.4-0.5mg/ml BSA 100 ul 439
Microvalidated Rab Mono Image
Bulk quote request
Western blot testing of lysate from human HeLa cells 1) treated with Calyculin A and 2) untreated, with phospho-EIF2S1 antibody (pS51). Predicted molecular weight ~36 kDa.
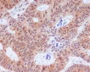
IHC staining of FFPE human colon cancer with phospho-EIF2S1 antibody (pS51). HIER: boil tissue sections in pH6, 10mM citrate buffer, for 10-20 min and allow to cool before testing.
Availability 1-2 weeks
Species Reactivity Human
Format Purified
Clonality Rabbit Monoclonal
Isotype Rabbit IgG
Clone Name IO-5
Purity Affinity purified
UniProt P05198
Applications Western Blot : 1:500-1:2000
Immunohistochemistry (FFPE) : 1:50-1:200
Limitations This phospho-EIF2S1 antibody (pS51) is available for research use only.
Review this product on BioCompare and get a $20 Amazon gift card

Related Products

Description

EIF2S1 functions in the early steps of protein synthesis by forming a ternary complex with GTP and initiator tRNA. This complex binds to a 40S ribosomal subunit, followed by mRNA binding to form a 43S pre-initiation complex. Junction of the 60S ribosomal subunit to form the 80S initiation complex is preceded by hydrolysis of the GTP bound to eIF-2 and release of an eIF-2-GDP binary complex. In order for eIF-2 to recycle and catalyze another round of initiation, the GDP bound to eIF-2 must exchange with GTP by way of a reaction catalyzed by eIF-2B. [UniProt]

Application Notes

Optimal dilution of the phospho-EIF2S1 antibody (pS51) should be determined by the researcher.

Immunogen

A synthetic peptide specific to human EIF2S1 (surrounding phosphorylated S51) was used as the immunogen for the phospho-EIF2S1 antibody.

Storage

Store the phospho-EIF2S1 antibody (pS51) at -20oC.

Cross
Bulk Quote Request Form
Name*:
Organization*:
Email*:
Phone Number*:
Catalog No.*:
Comments and Specifics(amount, formulation, etc.)*:
Validation code: Captchapackage Image


Can't read the image? click here to refresh.
    *required field

Your bulk quote request has been submitted successfully!

Please contact us if you have any questions.