• Tel: 858.663.9055
  • SeparatorEmail: info@nsjbio.com
  • Tel: 858.663.9055
  • Email: info@nsjbio.com
Home >> Antibodies >> Phospho-EGFR Antibody (pY1092)

Phospho-EGFR Antibody (pY1092) [clone BFO-5] (RQ4842)

  Catalog No Formulation Size Price (USD)  
Image RQ4842 Antibody in PBS with 0.02% sodium azide, 50% glycerol and 0.4-0.5mg/ml BSA 100 ul 439
Microvalidated Rab Mono Image
Bulk quote request
Western blot testing of lysate from HUVEC cells treated with EGF, with phospho-EGFR antibody. Expected molecular weight: 134-170 kDa depending on glycosylation level.
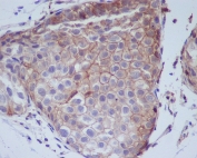
IHC staining of FFPE human breast cancer with phospho-EGFR antibody. HIER: boil tissue sections in pH6, 10mM citrate buffer, for 10-20 min and allow to cool before testing.
Availability 1-2 weeks
Species Reactivity Human
Format Purified
Clonality Rabbit Monoclonal
Isotype Rabbit IgG
Clone Name BFO-5
Purity Affinity purified
UniProt P00533
Localization Cell surface
Applications Western Blot : 1:500-1:2000
Immunohistochemistry (FFPE) : 1:50-1:200
Limitations This phospho-EGFR antibody is available for research use only.
Review this product on BioCompare and get a $20 Amazon gift card

Related Products

Description

EGFR is a receptor tyrosine kinase. Receptor for epidermal growth factor (EGF) and related growth factors including TGF-alpha, amphiregulin, betacellulin, heparin-binding EGF-like growth factor, GP30 and vaccinia virus growth factor. Is involved in the control of cell growth and differentiation.

Application Notes

Optimal dilution of the phospho-EGFR antibody should be determined by the researcher.

Immunogen

A synthetic peptide specific to human EGFR (surrounding pY1092) was used as the immunogen for the phospho-EGFR antibody.

Storage

Store the phospho-EGFR antibody at -20oC.

Cross
Bulk Quote Request Form
Name*:
Organization*:
Email*:
Phone Number*:
Catalog No.*:
Comments and Specifics(amount, formulation, etc.)*:
Validation code: Captchapackage Image


Can't read the image? click here to refresh.
    *required field

Your bulk quote request has been submitted successfully!

Please contact us if you have any questions.