• Tel: 858.663.9055
  • SeparatorEmail: info@nsjbio.com
  • Tel: 858.663.9055
  • Email: info@nsjbio.com
Home >> Antibodies >> Phospho-c-Myc Antibody (pT58 + pS62)

Phospho-c-Myc Antibody (pT58 + pS62) [clone AOO-13] (RQ4862)

  Catalog No Formulation Size Price (USD)  
Image RQ4862 Antibody in PBS with 0.02% sodium azide, 50% glycerol and 0.4-0.5mg/ml BSA 100 ul 439
Microvalidated Rab Mono Image
Bulk quote request
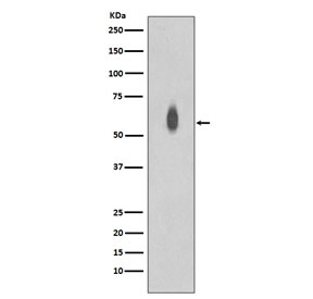
Western blot testing of lysate from EGF-treated human HEK293 cells with phospho-c-Myc antibody. Theoretical molecular weight: ~50 kDa but routinely observed at 50~70 kDa.
Availability 1-2 weeks
Species Reactivity Human
Format Purified
Clonality Rabbit Monoclonal
Isotype Rabbit IgG
Clone Name AOO-13
Purity Affinity purified
UniProt P01106
Applications Western Blot : 1:500-1:2000
Limitations This phospho-c-Myc antibody is available for research use only.
Review this product on BioCompare and get a $20 Amazon gift card

Related Products

Description

c-Myc is an oncogene that functions both in the stimulation of cell proliferation and in apoptosis. It elicits its oncogenic activity by causing immortalization, and to a lesser extent the transformation of cells, in addition to several other mechanisms.

Application Notes

Optimal dilution of the phospho-c-Myc antibody should be determined by the researcher.

Immunogen

A synthetic peptide specific to human c-Myc (surrounding pT58 + pS62) was used as the immunogen for the phospho-c-Myc antibody.

Storage

Store the phospho-c-Myc antibody at -20oC.

Cross
Bulk Quote Request Form
Name*:
Organization*:
Email*:
Phone Number*:
Catalog No.*:
Comments and Specifics(amount, formulation, etc.)*:
Validation code: Captchapackage Image


Can't read the image? click here to refresh.
    *required field

Your bulk quote request has been submitted successfully!

Please contact us if you have any questions.